Learn More
Invitrogen™ PNMA1 Polyclonal Antibody

Rabbit Polyclonal Antibody
Supplier: Invitrogen™ PA552003
Description
Immunogen sequence: MDVNSQRALL VWGIPVNCDE AEIEETLQAA MPQVSYRMLG RMFWREENAK AALLELTGAV DYAAIPREMP GKGGVWKVLF KPPTSDAEFL ERLHLFLARE GWTVQDVARV LGFQNPTPTP GPEMPAEMLN YILDNVIQPL VESIWYKRLT L Highest antigen sequence identity to the following orthologs: Mouse - 93%, Rat - 93%.
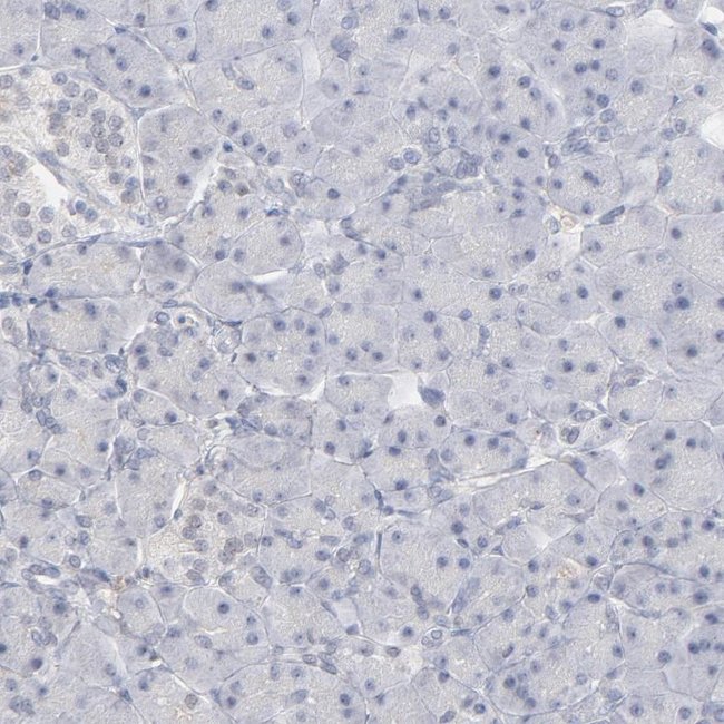
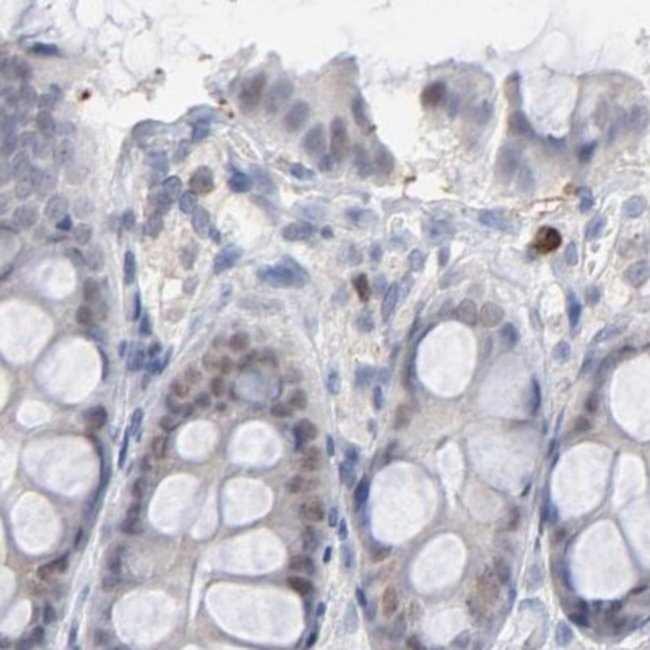
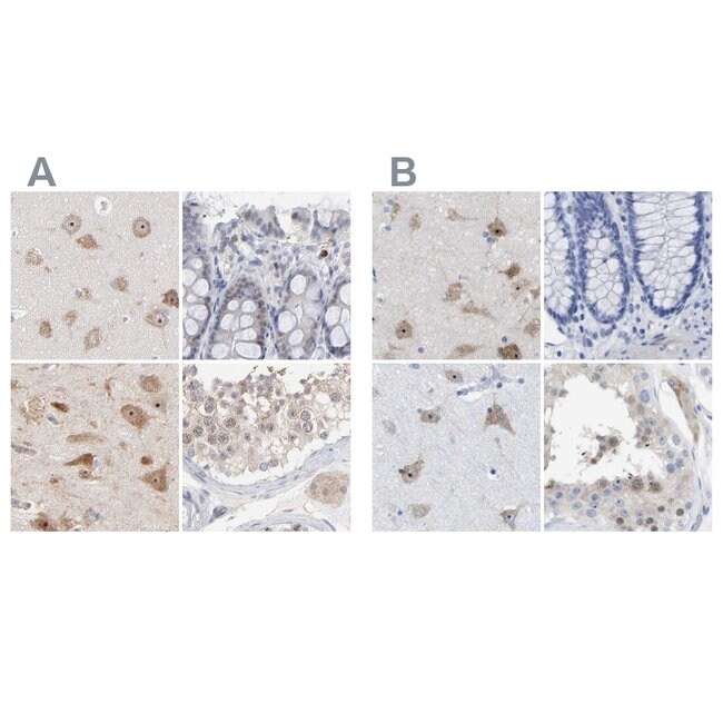
PNMA1 encodes a protein that is highly restricted to the brain and testis. Anti-PNMA1 reacts mainly with subnuclear elements (including the nucleoli) and to a lesser degree the cytoplasm.
Specifications
PNMA1 | |
Polyclonal | |
Unconjugated | |
Pnma1 | |
37 kDa neuronal protein; 5730402C15Rik; MA1; Neuron- and testis-specific protein 1; paraneoplastic antigen MA1; Paraneoplastic antigen Ma1 homolog; paraneoplastic Ma antigen 1; paraneoplastic neuronal antigen MA1; paraneoplastic onconeuronal protein MA1; PNMA family member 1; PNMA1 | |
Rabbit | |
Antigen affinity chromatography | |
RUO | |
9240 | |
Store at 4°C short term. For long term storage, store at -20°C, avoiding freeze/thaw cycles. | |
Liquid |
Immunohistochemistry (Paraffin), Western Blot | |
0.1 mg/mL | |
PBS with 40% glycerol and 0.02% sodium azide; pH 7.2 | |
Q8ND90 | |
Pnma1 | |
Recombinant protein corresponding to Human PNMA1. Recombinant protein control fragment (Product #RP-88884). | |
100 μL | |
Primary | |
Human | |
Antibody | |
IgG |
Your input is important to us. Please complete this form to provide feedback related to the content on this product.