Promotional price valid on web orders only. Your contract pricing may differ. Interested in signing up for a dedicated account number?
Learn More
Learn More
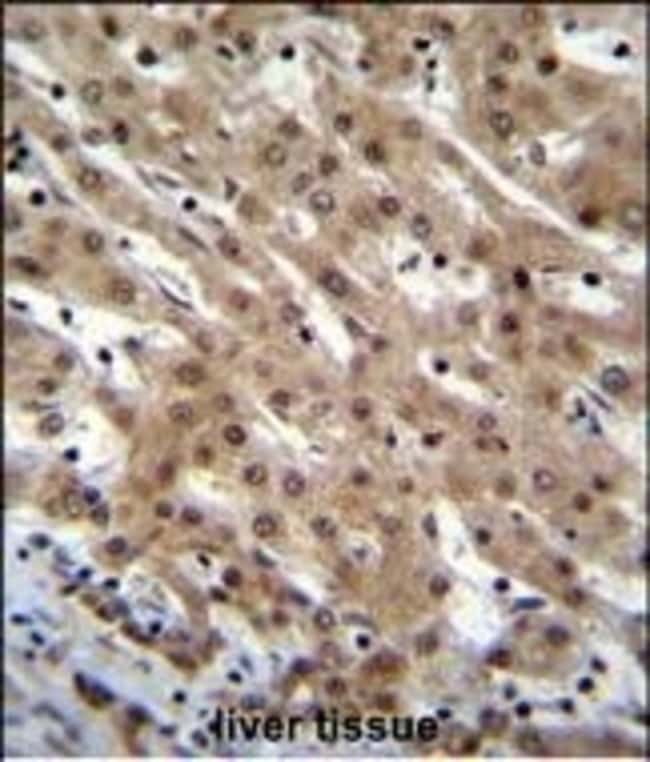
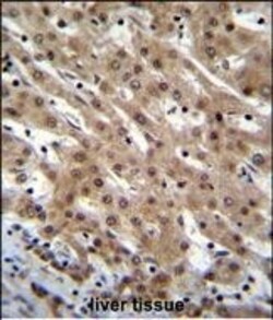
Invitrogen™ PNN Polyclonal Antibody

Rabbit Polyclonal Antibody
Supplier: Invitrogen™ PA535053
Description
This antibody is predicted to react with bovine and mouse based on sequence homology.
Transcriptional activator binding to the E-box 1 core sequence of the E-cadherin promoter gene; the core-binding sequence is 5'CAGGTG-3'. Capable of reversing CTBP1-mediated transcription repression. Auxiliary component of the splicing-dependent multiprotein exon junction complex (EJC) deposited at splice junction on mRNAs. The EJC is a dynamic structure consisting of core proteins and several peripheral nuclear and cytoplasmic associated factors that join the complex only transiently either during EJC assembly or during subsequent mRNA metabolism. Participates in the regulation of alternative pre-mRNA splicing. Associates to spliced mRNA within 60 nt upstream of the 5'-splice sites. Component of the PSAP complex which binds RNA in a sequence-independent manner and is proposed to be recruited to the EJC prior to or during the splicing process and to regulate specific excision of introns in specific transcription subsets. Involved in the establishment and maintenance of epithelia cell-cell adhesion. Potential tumor suppressor for renal cell carcinoma. [UniProt].
Specifications
PNN | |
Polyclonal | |
Unconjugated | |
PNN | |
140 kDa nuclear and cell adhesion-related phosphoprotein; AU045199; D12Ertd512e; Desmosome-associated protein; domain-rich serine protein; DRS; DRS protein; DRSP; fb24d03; Melanoma metastasis clone A protein; memA; neutrophil protein; nuclear protein SDK3; Pinin; pinin, desmosome associated protein; PNN; PNN protein; SDK3; SR-like protein; wu:fb24d03 | |
Rabbit | |
Antigen affinity chromatography, Protein A | |
RUO | |
5411 | |
Store at 4°C short term. For long term storage, store at -20°C, avoiding freeze/thaw cycles. | |
Liquid |
Immunohistochemistry (Paraffin), Western Blot, Immunocytochemistry | |
0.25 mg/mL | |
PBS with 0.09% sodium azide; pH 7.4 | |
Q9H307 | |
PNN | |
KLH conjugated synthetic peptide between 209-239 amino acids from the central region of human PNN. | |
400 μL | |
Primary | |
Human | |
Antibody | |
IgG |
Safety and Handling
WARNING: Cancer - www.P65Warnings.ca.gov
Product Content Correction
Your input is important to us. Please complete this form to provide feedback related to the content on this product.
Product Title
Spot an opportunity for improvement?Share a Content Correction