Promotional price valid on web orders only. Your contract pricing may differ. Interested in signing up for a dedicated account number?
Learn More
Learn More
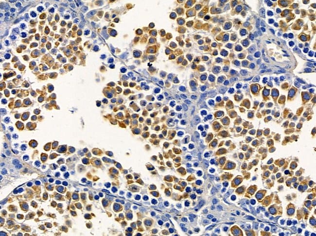
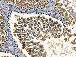
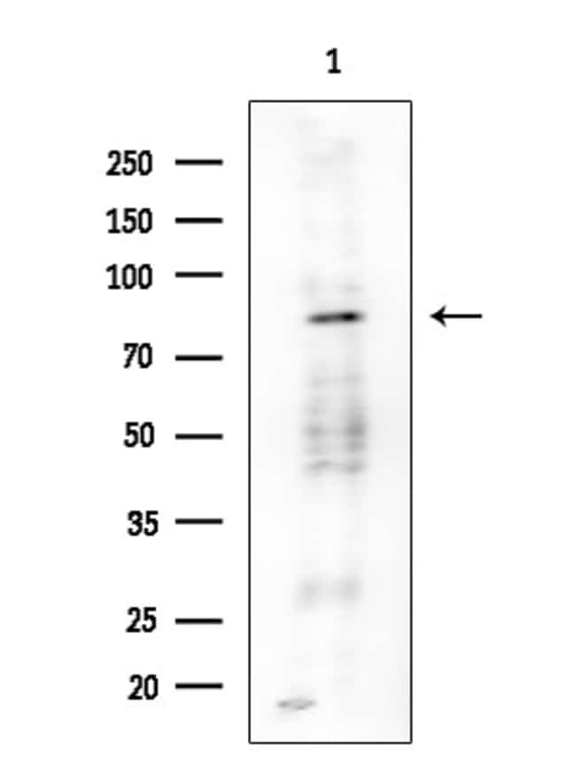
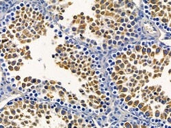
Invitrogen™ PNPase Polyclonal Antibody

Rabbit Polyclonal Antibody
Supplier: Invitrogen™ PA5115776
Description
Antibody detects endogenous levels of total PNPase.
PNPT1 (polyribonucleotide nucleotidyltransferase 1, mitochondirla) is a RNA-binding protein implicated in numerous RNA metabolic processes. It catalyzes the phosphorolysis of single-stranded polyribonucleotides processively in the 3'-to-5' direction. PNPT1 is a component of the mitochondrial degradosome (mtEXO) complex that degrades 3' overhang double-stranded RNA with a 3'-to-5' directionality in an ATP-dependent manner. It is required for correct processing and polyadenylation of mitochondrial mRNAs. It plays a role as a cytoplasmic RNA import factor, in mitochondrial morphogenesis and respiration, regulation of expression of the electron transport chain, regulation of the stability of specific mature miRNAs in melanoma cells, and RNA cell surveilance. Mutations of the gene can result in combined oxidative phosphorylation deficiency 13 (COXPD13) and deafness, autosomal recessive, 70 (DFNB70).
Specifications
| PNPase | |
| Polyclonal | |
| Unconjugated | |
| PNPT1 | |
| 1200003F12Rik; 3'-5' RNA exonuclease OLD35; COXPD13; DFNB70; DKFZp762K1914; old 35; Old35; old-35; PNPase; PNPase 1; PNPase old-35; Pnpt1; Pnptl1; polynucleotide phosphorylase 1; Polynucleotide phosphorylase-like protein; polyribonucleotide nucleotidyltransferase 1; polyribonucleotide nucleotidyltransferase 1, mitochondrial | |
| Rabbit | |
| Affinity chromatography | |
| RUO | |
| 71701, 87178 | |
| -20°C | |
| Liquid |
| Immunohistochemistry (Paraffin), Western Blot, Immunocytochemistry | |
| 1 mg/mL | |
| PBS with 50% glycerol and 0.02% sodium azide | |
| Q8K1R3, Q8TCS8 | |
| PNPT1 | |
| A synthesized peptide derived from human PNPT1(Accession Q8TCS8), corresponding to amino acid residues K716-R766. | |
| 100 μL | |
| Primary | |
| Human, Mouse | |
| Antibody | |
| IgG |
Safety and Handling
WARNING: Cancer - www.P65Warnings.ca.gov
Product Content Correction
Your input is important to us. Please complete this form to provide feedback related to the content on this product.
Product Title
Spot an opportunity for improvement?Share a Content Correction