Promotional price valid on web orders only. Your contract pricing may differ. Interested in signing up for a dedicated account number?
Learn More
Learn More
Invitrogen™ POFUT1 Polyclonal Antibody

Rabbit Polyclonal Antibody
Supplier: Invitrogen™ PA520581
Description
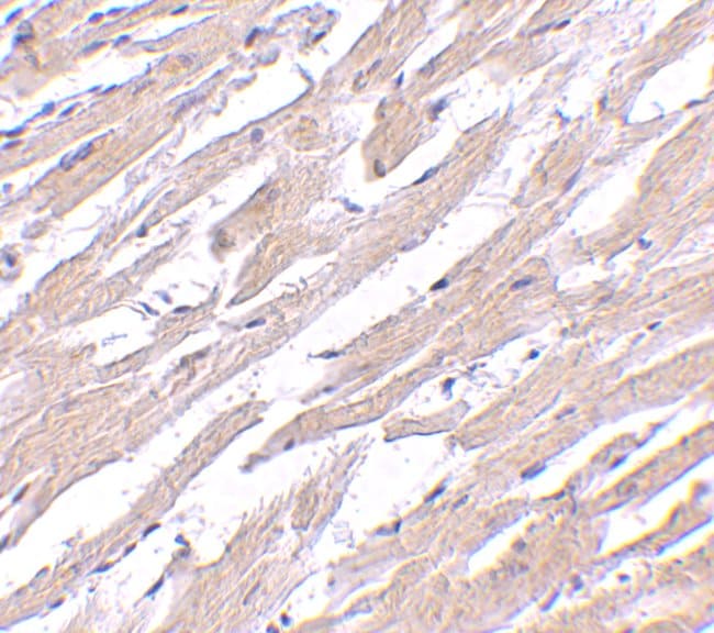
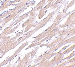
A suggested positive control is human heart tissue lysate. PA5-20581 can be used with blocking peptide PEP-0701.
POFUT1, an endoplasmic reticulum-residing member of the glycosyltransferase O-Fuc family, adds O-fucose through an O-glycosidic linkage to conserved serine or threonines in epidermal growth factor-like repeats of several cell surface and secreted proteins. Unlike its homolog POFUT2, POFUT1 can also catalyze the transfer of fucose to thrombospondin type 1 repeats. Many of the substrates of POFUT1 are involved in ligand-induced receptor signaling. One such protein is Notch; mouse ES cells lacking POFUT have normal levels of Notch receptors at the cell surface, but these receptors do not bind Notch ligands or exhibit Notch signaling.
Specifications
POFUT1 | |
Polyclonal | |
Unconjugated | |
POFUT1 | |
DDD2; FUT12; GDP-fucose protein O-fucosyltransferase 1; KIAA0180; mKIAA0180; o-fucosyltransferase protein; O-Fuc-T; OFUCT1; O-FucT-1; O-FucT-1a; O-FucT-1b; O-FUT; peptide-O-fucosyltransferase 1; Pofut1; pofut1 {ECO:0000312; protein O-fucosyltransferase 1; protein O-fucosyltransferase 1 isoform 1 precursor; protein O-fucosyltransferase 1a; protein O-fucosyltransferase 1b; protein-O-fucosyltransferase 1; RGD:1303001}; zgc:110472 | |
Rabbit | |
Antigen Affinity Chromatography | |
RUO | |
140484, 23509 | |
Maintain refrigerated at 2-8°C for up to 3 months. For long term storage store at -20°C | |
Liquid |
Immunohistochemistry, Western Blot | |
1 mg/mL | |
PBS with 0.02% sodium azide | |
Q91ZW2, Q9H488 | |
POFUT1 | |
A 16 amino acid peptide from near the amino terminus of human POFUT1. | |
100 μg | |
Primary | |
Human, Mouse | |
Antibody | |
IgG |
Product Content Correction
Your input is important to us. Please complete this form to provide feedback related to the content on this product.
Product Title
Spot an opportunity for improvement?Share a Content Correction