Promotional price valid on web orders only. Your contract pricing may differ. Interested in signing up for a dedicated account number?
Learn More
Learn More
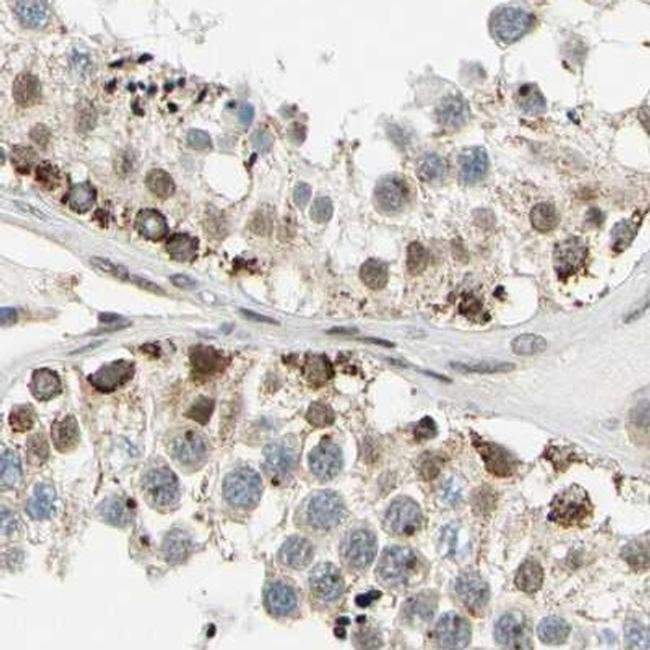
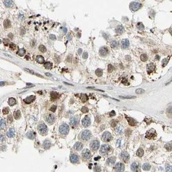
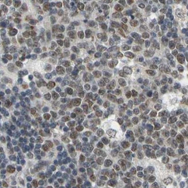
Invitrogen™ POGZ Polyclonal Antibody

Rabbit Polyclonal Antibody
Supplier: Invitrogen™ PA552609
Description
Immunogen sequence: PEELLTPLAP ALPSPASTAT PPPTPTHPQA LALPPLATEG AECLNVDDQD EGSPVTQEPE LASGGGGSGG VGKKEQLSVK KLRVVLFALC CNTEQAAEHF RNPQRRIRRW LRRFQASQGE NLEGKYLSFE AEEKLAEWV Highest antigen sequence identity to the following orthologs: Mouse - 87%, Rat - 87%.
POGZ appears to be a zinc finger protein containing a transposase domain at the C-terminus. This protein was found to interact with the transcription factor SP1 in a yeast two-hybrid systemThe protein encoded by this gene appears to be a zinc finger protein containing a transposase domain at the C-terminus. This protein was found to interact with the transcription factor SP1 in a yeast two-hybrid system. At least three alternatively spliced transcript variants encoding distinct isoforms have been observed.
Specifications
| POGZ | |
| Polyclonal | |
| Unconjugated | |
| POGZ | |
| 9530006B08Rik; KIAA0461; MRD37; Nbla00003; pogo transposable element derived with ZNF domain; pogo transposable element with ZNF domain; POGZ; putative protein product of Nbla00003; SUHW5; Suppressor of hairy wing homolog 5; WHSUS; Zinc finger protein 280E; zinc finger protein 635; ZNF280E; ZNF635; ZNF635m | |
| Rabbit | |
| Antigen Affinity Chromatography | |
| RUO | |
| 23126 | |
| Store at 4°C short term. For long term storage, store at -20°C, avoiding freeze/thaw cycles. | |
| Liquid |
| Immunohistochemistry (Paraffin), Immunocytochemistry | |
| 0.05 mg/mL | |
| PBS with 40% glycerol and 0.02% sodium azide; pH 7.2 | |
| Q7Z3K3 | |
| POGZ | |
| Recombinant protein corresponding to Human POGZ. Recombinant protein control fragment (Product #RP-89484). | |
| 100 μL | |
| Primary | |
| Human | |
| Antibody | |
| IgG |
Safety and Handling
WARNING: Cancer - www.P65Warnings.ca.gov
Product Content Correction
Your input is important to us. Please complete this form to provide feedback related to the content on this product.
Product Title
Spot an opportunity for improvement?Share a Content Correction