Learn More
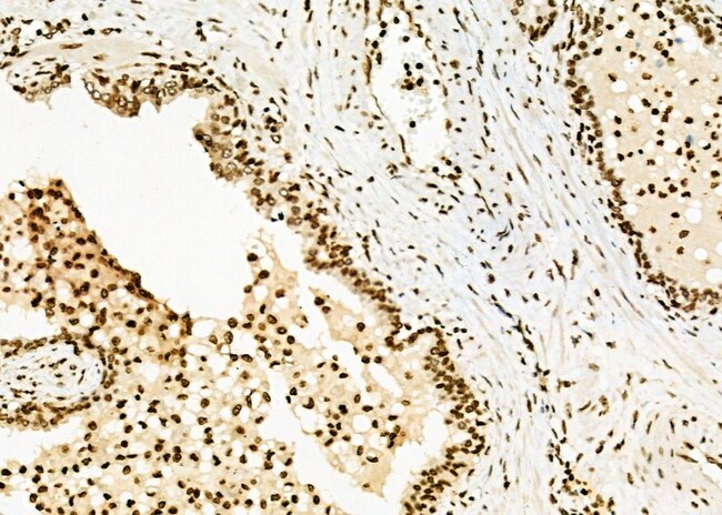
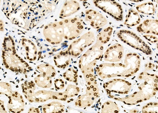
Invitrogen™ POLI Polyclonal Antibody

Description
Antibody detects endogenous levels of total POLI.
Specifications
Specifications
| Antigen | POLI |
| Applications | Immunohistochemistry (Paraffin), Western Blot, Immunocytochemistry |
| Classification | Polyclonal |
| Concentration | 1 mg/mL |
| Conjugate | Unconjugated |
| Formulation | PBS with 50% glycerol and 0.02% sodium azide; pH 7.4 |
| Gene | Poli |
| Gene Accession No. | Q6R3M4, Q9UNA4 |
| Gene Alias | DNA polymerase iota; eta2; Poli; polymerase (DNA directed) iota; polymerase (DNA directed), iota; polymerase (DNA) iota; polymerase (DNA-directed), iota; RAD 30B; RAD30; RAD30 homolog B; RAD30B; RAD3OB |
| Gene Symbols | Poli |
| Show More |
By clicking Submit, you acknowledge that you may be contacted by Fisher Scientific in regards to the feedback you have provided in this form. We will not share your information for any other purposes. All contact information provided shall also be maintained in accordance with our Privacy Policy.