Promotional price valid on web orders only. Your contract pricing may differ. Interested in signing up for a dedicated account number?
Learn More
Learn More
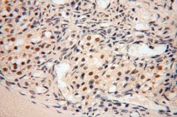
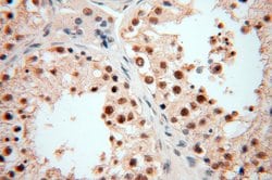
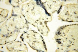
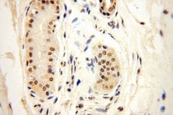
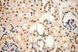
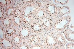
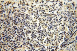
POLR1C Rabbit anti-Human, Mouse, Rat, Polyclonal, Proteintech

Rabbit Polyclonal Antibody
Supplier: Proteintech Group Inc 159231AP150UL

Description
RNA polymerases transcribe nuclear genes for ribosomal RNA, thus representing ribosomal biogenesis. RNA polymerase I (Pol I) is located in the nucleolus and transcribes class I genes, which code for large ribosomal RNA. Different subunits of the Pol I transcription machinery are targets of various physiological stimuli, which suggests that multiple signaling pathways are involved in carrying out Pol I transcription. RPA16, RPA40 and RPA135 are subunits of Pol I that associate with each other at an early stage of RNA Pol I assembly. RPA40 is essential for the function and integrity of the complex and is also an essential subunit of RNA polymerase III (Pol III).Specifications
POLR1C | |
Polyclonal | |
Unconjugated | |
POLR1C | |
AC40, POLR1C, POLR1E, RPA39, RPA40, RPA5, RPAC1, RPC40 | |
Rabbit | |
Antigen Affinity Chromatography | |
RUO | |
20016, 301246, 9533 | |
-20°C | |
Liquid |
Immunohistochemistry (Paraffin), Western Blot | |
0.13 mg/mL | |
PBS with 50% glycerol and 0.02% sodium azide; pH 7.3 | |
O15160, P52432 | |
POLR1C | |
POLR1C Fusion Protein Ag8746 | |
150 μL | |
Primary | |
Human, Mouse, Rat | |
Antibody | |
IgG |
Product Content Correction
The Fisher Scientific Encompass Program offers items which are not part of our distribution portfolio. These products typically do not have pictures or detailed descriptions. However, we are committed to improving your shopping experience. Please use the form below to provide feedback related to the content on this product.
Product Title
Spot an opportunity for improvement?Share a Content Correction