Promotional price valid on web orders only. Your contract pricing may differ. Interested in signing up for a dedicated account number?
Learn More
Learn More
Invitrogen™ POLR3H Polyclonal Antibody

Rabbit Polyclonal Antibody
Supplier: Invitrogen™ PA561325
Description
Immunogen sequence: GFFDDILIPP ESLQQPAKFD EAEQVWVWEY ETEEGAHDLY MDTGEEIRFR VVDESFVDTS PTGPSSADAT TSSEELPKKE APYTLVG Highest antigen sequence identity to the following orthologs: Mouse - 97%, Rat - 97%.
RPC8 is DNA-dependent RNA polymerase catalyzes the transcription of DNA into RNA using the four ribonucleoside triphosphates as substrates. Specific peripheric component of RNA polymerase III which synthesizes small RNAs, such as 5S rRNA and tRNAs. It is plays a key role in sensing and limiting infection by intracellular bacteria and DNA viruses. It is acting as nuclear and cytosolic DNA sensor involved in innate immune response. It can sense non-self dsDNA that serves as template for transcription into dsRNA. The non-self RNA polymerase III transcripts, such as Epstein-Barr virus-encoded RNAs (EBERs) induce type I interferon and NF-Kappa-B through the RIG-I pathway.
Specifications
POLR3H | |
Polyclonal | |
Unconjugated | |
POLR3H | |
5031409G22Rik; DNA-directed RNA polymerase III subunit 22.9 kDa polypeptide; DNA-directed RNA polymerase III subunit H; DNA-directed RNA polymerase III subunit RPC8; KIAA1665; POLR3H; polymerase (RNA) III (DNA directed) polypeptide H; polymerase (RNA) III (DNA directed) polypeptide H (22.9kD); polymerase (RNA) III subunit H; RNA nucleotidyltransferase (DNA-directed); RNA polymerase III subunit 22.9 kDa subunit; RNA polymerase III subunit C7; RNA polymerase III subunit C8; RNA polymerase III subunit H; RPC22.9; RPC8 | |
Rabbit | |
Antigen affinity chromatography | |
RUO | |
171568 | |
Store at 4°C short term. For long term storage, store at -20°C, avoiding freeze/thaw cycles. | |
Liquid |
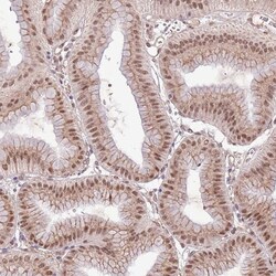
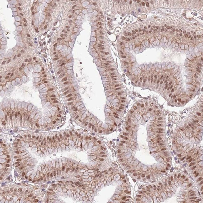
Immunohistochemistry (Paraffin), Western Blot, Immunocytochemistry | |
0.3 mg/mL | |
PBS with 40% glycerol and 0.02% sodium azide; pH 7.2 | |
Q9Y535 | |
POLR3H | |
Recombinant protein corresponding to Human POLR3H. Recombinant protein control fragment (Product #RP-91548). | |
100 μL | |
Primary | |
Human | |
Antibody | |
IgG |
Product Content Correction
Your input is important to us. Please complete this form to provide feedback related to the content on this product.
Product Title
Spot an opportunity for improvement?Share a Content Correction