Promotional price valid on web orders only. Your contract pricing may differ. Interested in signing up for a dedicated account number?
Learn More
Learn More
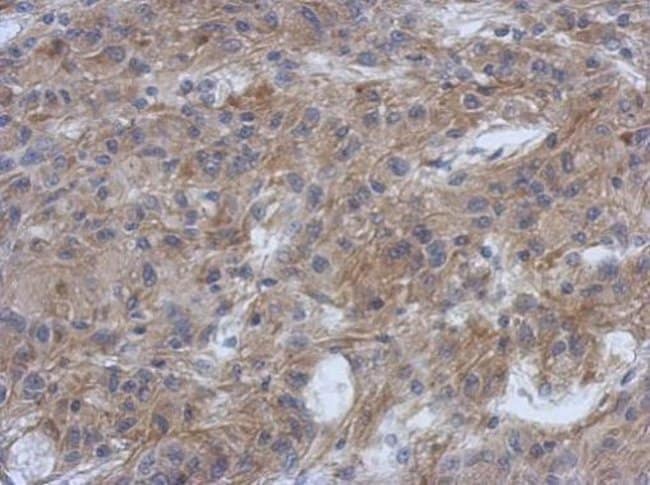
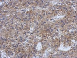
Invitrogen™ PPFIBP1 Polyclonal Antibody

Rabbit Polyclonal Antibody
Supplier: Invitrogen™ PA531612
Description
Recommended positive controls: 293T, Jurkat. Predicted reactivity: Rhesus Monkey (81%). Store product as a concentrated solution. Centrifuge briefly prior to opening the vial.
The protein encoded by this gene is a member of the LAR protein-tyrosine phosphatase-interacting protein (liprin) family. Liprins interact with members of LAR family of transmembrane protein tyrosine phosphatases, which are known to be important for axon guidance and mammary gland development. It has been proposed that liprins are multivalent proteins that form complex structures and act as scaffolds for the recruitment and anchoring of LAR family of tyrosine phosphatases. This protein was found to interact with S100A4, a calcium-binding protein related to tumor invasiveness and metastasis. In vitro experiment demonstrated that the interaction inhibited the phosphorylation of this protein by protein kinase C and protein kinase CK2. Alternatively spliced transcript variants encoding distinct isoforms have been reported.
Specifications
| PPFIBP1 | |
| Polyclonal | |
| Unconjugated | |
| PPFIBP1 | |
| 4632409B19Rik; AW214454; AW261454; hSGT2; hSgt2p; KIAA1230; L2; liprin beta 1; liprin related protein; liprin-beta 1; liprin-beta-1; PPFIA binding protein 1; Ppfibp1; Protein tyrosine phosphatase receptor type f polypeptide-interacting protein-binding protein 1; protein-tyrosine phosphatase receptor-type f polypeptide-interacting protein-binding protein 1; PTPRF interacting protein, binding protein 1 (liprin beta 1); PTPRF-interacting protein-binding protein 1; SGT2 | |
| Rabbit | |
| Antigen affinity chromatography | |
| RUO | |
| 8496 | |
| Store at 4°C short term. For long term storage, store at -20°C, avoiding freeze/thaw cycles. | |
| Liquid |
| Immunohistochemistry (Paraffin), Western Blot | |
| 1 mg/mL | |
| 0.1M tris glycine with 20% glycerol and 0.01% thimerosal; pH 7 | |
| Q86W92 | |
| PPFIBP1 | |
| Recombinant protein encompassing a sequence within the center region of human PPFIBP1. The exact sequence is proprietary. | |
| 100 μL | |
| Primary | |
| Human | |
| Antibody | |
| IgG |
Safety and Handling
WARNING: Cancer - www.P65Warnings.ca.gov
Product Content Correction
Your input is important to us. Please complete this form to provide feedback related to the content on this product.
Product Title
Spot an opportunity for improvement?Share a Content Correction