Promotional price valid on web orders only. Your contract pricing may differ. Interested in signing up for a dedicated account number?
Learn More
Learn More
Invitrogen™ PPFIBP2 Polyclonal Antibody

Rabbit Polyclonal Antibody
Supplier: Invitrogen™ PA522222
Description
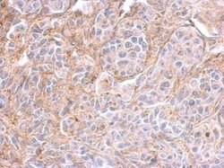
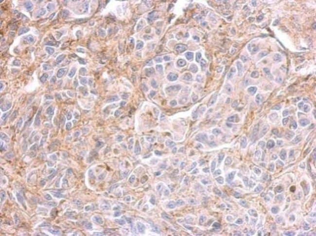
Recommended positive controls: A431. Predicted reactivity: Mouse (88%), Rat (86%). Store product as a concentrated solution. Centrifuge briefly prior to opening the vial.
The PPFIBP2 (PPFIA Binding Protein 2) gene encodes a protein that belongs to the liprin family, which is involved in intracellular signaling and cytoskeletal organization. Located on chromosome 1, PPFIBP2 is primarily known for its role in synaptic function and cell adhesion. The protein interacts with receptor protein tyrosine phosphatases, particularly PTPRF and PTPRD, and plays a critical role in the formation and maintenance of synaptic contacts. PPFIBP2 facilitates the proper localization of synaptic vesicles and synapse-specific proteins, contributing to synaptic stability and plasticity. Disruption of PPFIBP2 expression or function has been linked to neurological disorders, emphasizing its importance in neural communication. Additionally, PPFIBP2 has been implicated in cancer, where it may influence tumor cell adhesion and migration.
Specifications
| PPFIBP2 | |
| Polyclonal | |
| Unconjugated | |
| PPFIBP2 | |
| Cclp1; coiled-coil-like protein 1; liprin beta 2; liprin-beta-2; PPFIA binding protein 2; Ppfibp2; Protein tyrosine phosphatase receptor type f polypeptide-interacting protein-binding protein 2; protein tyrosine phosphatase, receptor-type, F interacting protein, binding protein 2; PTPRF interacting protein, binding protein 2 (liprin beta 2); PTPRF-interacting protein-binding protein 2 | |
| Rabbit | |
| Antigen affinity chromatography | |
| RUO | |
| 8495 | |
| Store at 4°C short term. For long term storage, store at -20°C, avoiding freeze/thaw cycles. | |
| Liquid |
| Immunohistochemistry (Paraffin), Western Blot, Immunocytochemistry | |
| 0.79 mg/mL | |
| 0.1M tris glycine with 10% glycerol and 0.01% thimerosal; pH 7 | |
| Q8ND30 | |
| PPFIBP2 | |
| Recombinant protein encompassing a sequence within the center region of human PPFIBP2. The exact sequence is proprietary. | |
| 100 μL | |
| Primary | |
| Human | |
| Antibody | |
| IgG |
Safety and Handling
WARNING: Cancer - www.P65Warnings.ca.gov
Product Content Correction
Your input is important to us. Please complete this form to provide feedback related to the content on this product.
Product Title
Spot an opportunity for improvement?Share a Content Correction