Promotional price valid on web orders only. Your contract pricing may differ. Interested in signing up for a dedicated account number?
Learn More
Learn More
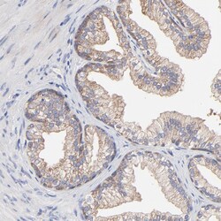
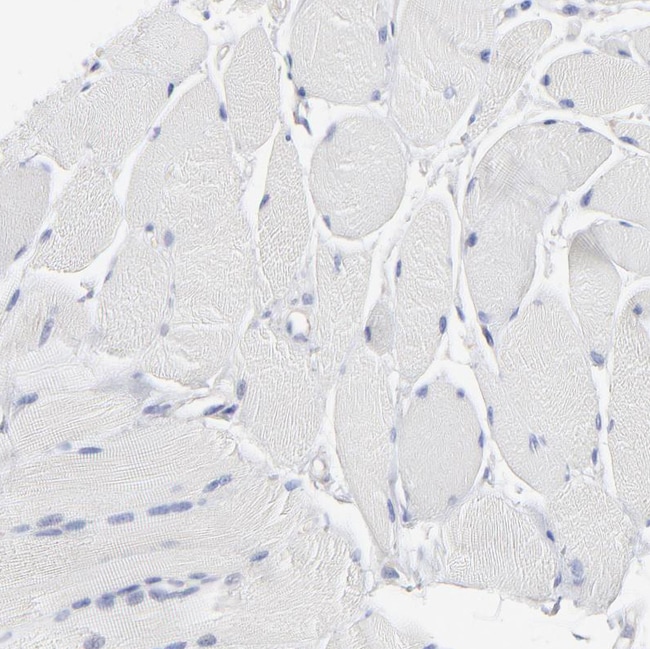
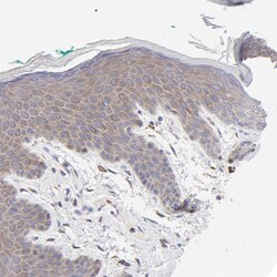
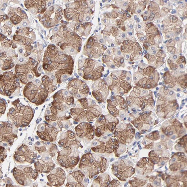
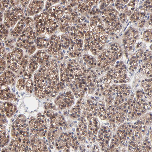
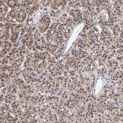
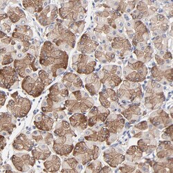
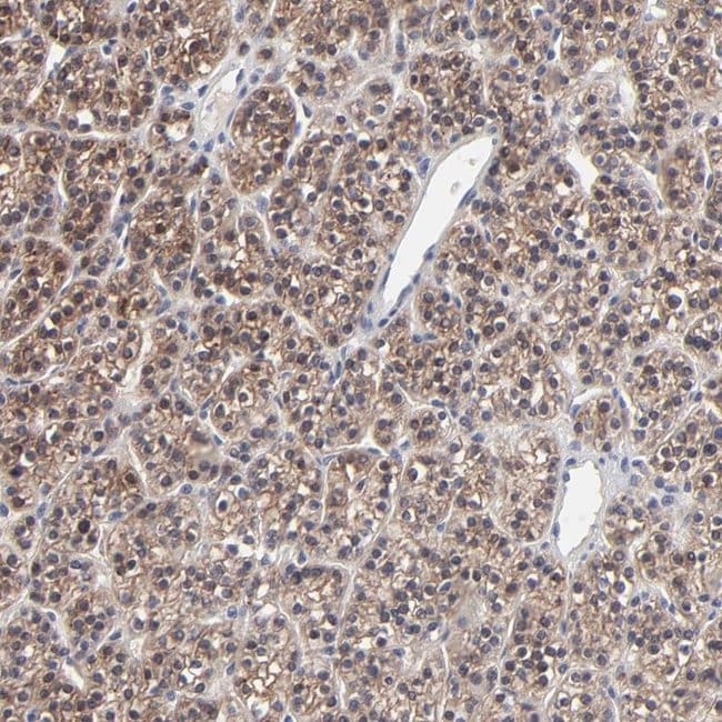
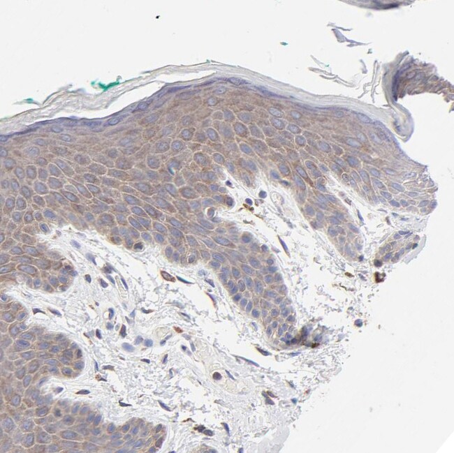
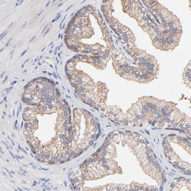
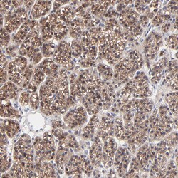
Invitrogen™ PPFIBP2 Polyclonal Antibody

Rabbit Polyclonal Antibody
Supplier: Invitrogen™ PA551666
Description
Immunogen sequence: SGATPNGEAA KSPPTICQPD ATGSSLLRLR DTESGWDDTA VVNDLSSTSS GTESGPQSPL TPDGKRNPKG IKKFWGKIRR TQSGNFYTDT LGMAEFRRGG L Highest antigen sequence identity to the following orthologs: Mouse - 76%, Rat - 80%.
The PPFIBP2 (PPFIA Binding Protein 2) gene encodes a protein that belongs to the liprin family, which is involved in intracellular signaling and cytoskeletal organization. Located on chromosome 1, PPFIBP2 is primarily known for its role in synaptic function and cell adhesion. The protein interacts with receptor protein tyrosine phosphatases, particularly PTPRF and PTPRD, and plays a critical role in the formation and maintenance of synaptic contacts. PPFIBP2 facilitates the proper localization of synaptic vesicles and synapse-specific proteins, contributing to synaptic stability and plasticity. Disruption of PPFIBP2 expression or function has been linked to neurological disorders, emphasizing its importance in neural communication. Additionally, PPFIBP2 has been implicated in cancer, where it may influence tumor cell adhesion and migration.
Specifications
PPFIBP2 | |
Polyclonal | |
Unconjugated | |
PPFIBP2 | |
Cclp1; coiled-coil-like protein 1; liprin beta 2; liprin-beta-2; PPFIA binding protein 2; Ppfibp2; Protein tyrosine phosphatase receptor type f polypeptide-interacting protein-binding protein 2; protein tyrosine phosphatase, receptor-type, F interacting protein, binding protein 2; PTPRF interacting protein, binding protein 2 (liprin beta 2); PTPRF-interacting protein-binding protein 2 | |
Rabbit | |
Antigen affinity chromatography | |
RUO | |
8495 | |
Store at 4°C short term. For long term storage, store at -20°C, avoiding freeze/thaw cycles. | |
Liquid |
Immunohistochemistry (Paraffin), Immunocytochemistry | |
0.10 mg/mL | |
PBS with 40% glycerol and 0.02% sodium azide; pH 7.2 | |
Q8ND30 | |
PPFIBP2 | |
Recombinant protein corresponding to Human PPFIBP2. Recombinant protein control fragment (Product #RP-102101). | |
100 μL | |
Primary | |
Human | |
Antibody | |
IgG |
Product Content Correction
Your input is important to us. Please complete this form to provide feedback related to the content on this product.
Product Title
Spot an opportunity for improvement?Share a Content Correction