Promotional price valid on web orders only. Your contract pricing may differ. Interested in signing up for a dedicated account number?
Learn More
Learn More
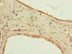
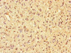
Invitrogen™ PPP2R2D Polyclonal Antibody

Rabbit Polyclonal Antibody
Supplier: Invitrogen™ PA598494
Description
PPP2R2D Polyclonal Antibody for Western Blot, ICC/IF, IHC (P), ELISA
PPP2R2D is the B regulatory subunit might modulate substrate selectivity and catalytic activity, and also might direct the localization of the catalytic enzyme to a particular subcellular compartment.
Specifications
| PPP2R2D | |
| Polyclonal | |
| Unconjugated | |
| PPP2R2D | |
| 1300017E19Rik; D7Ertd753e; Kiaa1541; MDS026; PP2A subunit B isoform B55-delta; PP2A subunit B isoform delta; PP2A subunit B isoform PR55-delta; PP2A subunit B isoform R2-delta; PP2A, subunit B, B55-delta isoform; PP2A, subunit B, B-delta isoform; PP2A, subunit B, PR55-delta isoform; PP2A, subunit B, R2-delta isoform; PPP2R2D; protein phosphatase 2 regulatory subunit B, delta; protein phosphatase 2 regulatory subunit Bdelta; protein phosphatase 2, regulatory subunit B, delta; protein phosphatase 2, regulatory subunit B, delta isoform; protein phosphatase 2A B regulatory subunit delta isoform; protein phosphatase 2A, regulatory subunit B, delta isoform; serine/threonine-protein phosphatase 2A 55 kDa regulatory subunit B delta isoform | |
| Rabbit | |
| Protein G | |
| RUO | |
| 55844 | |
| -20°C or -80°C if preferred | |
| Liquid |
| ELISA, Immunohistochemistry (Paraffin), Western Blot, Immunocytochemistry | |
| 1 mg/mL | |
| PBS with 50% glycerol and 0.03% ProClin 300; pH 7.4 | |
| Q66LE6 | |
| PPP2R2D | |
| Recombinant Human Serine/threonine-protein phosphatase 2A 55 kDa regulatory subunit B delta isoform protein (1-192AA). | |
| 100 μg | |
| Primary | |
| Human | |
| Antibody | |
| IgG |
Safety and Handling
WARNING: Cancer - www.P65Warnings.ca.gov
Product Content Correction
Your input is important to us. Please complete this form to provide feedback related to the content on this product.
Product Title
Spot an opportunity for improvement?Share a Content Correction