Learn More
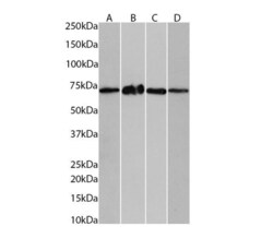
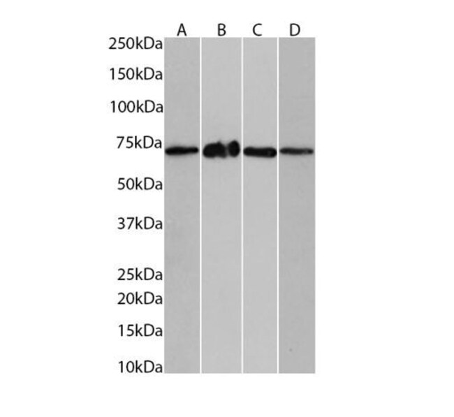
Invitrogen™ PPP2R5D Monoclonal Antibody (H5D12)

Description
This antibody does not exhibit cross-reactivity with B56 alpha, beta, gamma or epsilon.
Specifications
Specifications
| Antigen | PPP2R5D |
| Applications | Immunoprecipitation, Western Blot, Immunocytochemistry |
| Classification | Monoclonal |
| Clone | H5D12 |
| Concentration | 1 mg/mL |
| Conjugate | Unconjugated |
| Formulation | PBS with 0.1% sodium azide |
| Gene | PPP2R5D |
| Gene Accession No. | Q14738 |
| Gene Alias | B56D; B'delta; MGC2134; MGC8949; MRD35; PP2A B subunit isoform B56-delta; PP2A B subunit isoform B'-delta; PP2A B subunit isoform PR61-delta; PP2A B subunit isoform R5-delta; PP2A, B subunit, B' delta isoform; PP2A, B subunit, B56 delta isoform; PP2A, B subunit, PR61 delta isoform; PP2A, B subunit, R5 delta isoform; PP2CB; Ppp2r5d; protein phosphatase 2 regulatory subunit B'delta; protein phosphatase 2, regulatory subunit B (B56), delta isoform; protein phosphatase 2, regulatory subunit B', delta; protein phosphatase 2, regulatory subunit B', delta isoform; Serine/threonine protein phosphatase 2A, 56 kDa regulatory subunit, delta isoform; serine/threonine-protein phosphatase 2A 56 kDa regulatory subunit delta isoform; TEG-271; testis expressed gene 271; Tex271 |
| Show More |
Safety and Handling
By clicking Submit, you acknowledge that you may be contacted by Fisher Scientific in regards to the feedback you have provided in this form. We will not share your information for any other purposes. All contact information provided shall also be maintained in accordance with our Privacy Policy.