Promotional price valid on web orders only. Your contract pricing may differ. Interested in signing up for a dedicated account number?
Learn More
Learn More
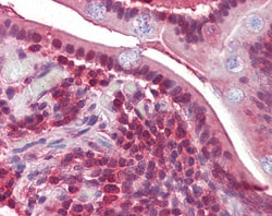
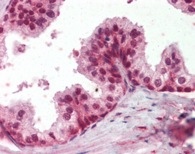
Invitrogen™ PPP4C Polyclonal Antibody

Goat Polyclonal Antibody
Supplier: Invitrogen™ PA519132
Description
This antibody is predicted to react with canine, rabbit and rat based on sequence homology. This antibody is tested in Peptide ELISA: antibody detection limit dilution 16,000.
The protein encoded by this gene is one subunit of a trimeric complex, forming a highly conserved transcription factor that binds to CCAAT motifs in the promoter regions in a variety of genes. Subunit A associates with a tight dimer composed of the B and C subunits, resulting in a trimer that binds to DNA with high specificity and affinity. The sequence specific interactions of the complex are made by the A subunit, suggesting a role as the regulatory subunit. In addition, there is evidence of post-transcriptional regulation in this gene product, either by protein degradation or control of translation. Further regulation is represented by alternative splicing in the glutamine-rich activation domain, with clear tissue-specific preferences for the two isoforms.
Specifications
PPP4C | |
Polyclonal | |
Unconjugated | |
PPP4C | |
1110002D08Rik; AU016079; P PPX; pp4; PP4C; PPH3; Ppp4; PPP4C; PPX; PP-X; protein phosphatase 4 (formerly X), catalytic subunit; protein phosphatase 4 catalytic subunit; protein phosphatase 4, catalytic subunit; protein phosphatase X; protein phosphatase X, catalytic subunit; serine/threonine-protein phosphatase 4 catalytic subunit | |
Goat | |
Ammonium Sulfate Precipitation | |
RUO | |
171366, 5531 | |
-20°C, Avoid Freeze/Thaw Cycles | |
Liquid |
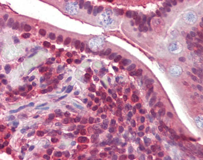
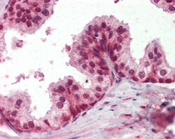
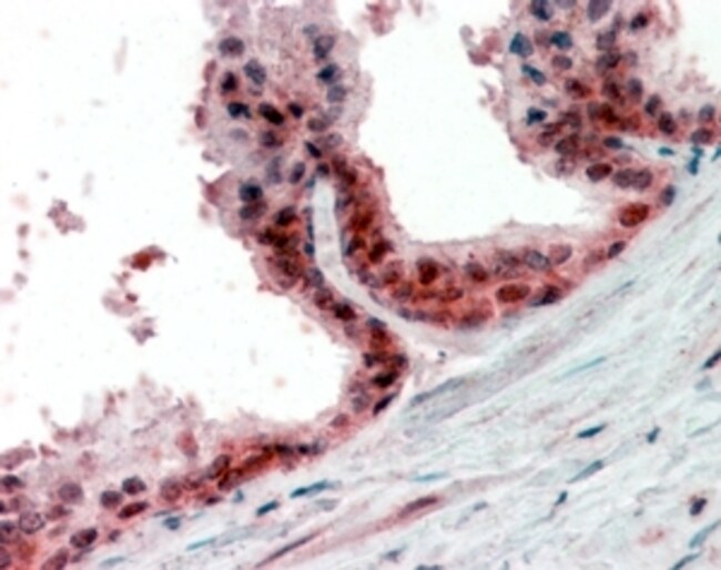
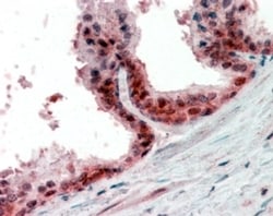
Immunohistochemistry (Paraffin), Western Blot | |
0.5 mg/mL | |
TBS with 0.5% BSA and 0.02% sodium azide; pH 7.3 | |
P60510, Q5BJ92 | |
PPP4C | |
Synthetic peptide sequence (PQETRGIPSKKP) corresponding to the C-terminus amino acids of PPP4C (aa 290-301). | |
100 μg | |
Primary | |
Human, Rat | |
Antibody | |
IgG |
Product Content Correction
Your input is important to us. Please complete this form to provide feedback related to the content on this product.
Product Title
Spot an opportunity for improvement?Share a Content Correction