Promotional price valid on web orders only. Your contract pricing may differ. Interested in signing up for a dedicated account number?
Learn More
Learn More
Invitrogen™ PPP6C Polyclonal Antibody

Rabbit Polyclonal Antibody
Supplier: Invitrogen™ PA515607
Description
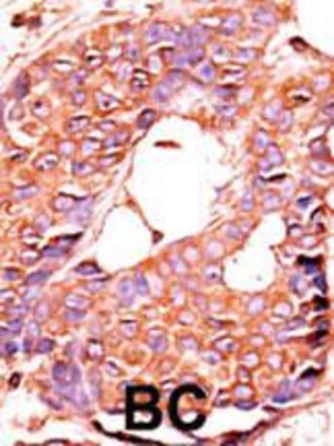
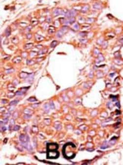
PPP6C Polyclonal Antibody for Western Blot, IHC (P)
Distinct DNA repair pathways minimize the consequences of mutagenic events. Reactive oxygen species (ROS) are highly reactive atoms with an unpaired electron that are conducive to double-strand DNA breaking events. Artemis, named after the Greek goddess for the protection of children, is one of the major proteins contributing to the preservation of double-strand breaks in DNA by cutting away the damaged parts of the DNA, which allows the strands to rejoin. Artemis is a single-strand-specific 5' to 3' exonuclease that forms a complex with the 469 kDa DNA-dependent protein kinase (DNA-PKcs). DNA-PKcs phosphorylates Artemis, and Artemis acquires endonucleolytic activity on 5' and 3' overhangs and hairpins. These activities are essential for V(D)J recombination and for the 5' and 3' overhang processing in nonhomologous DNA end joining.
Specifications
PPP6C | |
Polyclonal | |
PBS with 0.09% sodium azide; pH 7.4 | |
O00743 | |
Ppp6c | |
KLH conjugated synthetic peptide between 1-30 amino acids from the N-terminal region of human PPP6C. | |
400 μL | |
Primary | |
Human | |
Antibody | |
IgG |
Immunohistochemistry (Paraffin), Western Blot | |
Unconjugated | |
Ppp6c | |
2310003C10Rik; ANKRD33; FLJ34236; PP6; PP6C; PPP6; PPP6C; Ppv; PP-V; protein phosphatase 6 catalytic subunit; protein phosphatase 6, catalytic subunit; protein phosphatase V; serine/threonine protein phosphatase catalytic subunit; serine/threonine-protein phosphatase 6 catalytic subunit; Serine/threonine-protein phosphatase 6 catalytic subunit, N-terminally processed; UNQ5837 | |
Rabbit | |
Ammonium sulfate precipitation, Size-exclusion - Dialysis | |
RUO | |
5537 | |
Store at 4°C short term. For long term storage, store at -20°C, avoiding freeze/thaw cycles. | |
Liquid |
Product Content Correction
Your input is important to us. Please complete this form to provide feedback related to the content on this product.
Product Title
Spot an opportunity for improvement?Share a Content Correction