Promotional price valid on web orders only. Your contract pricing may differ. Interested in signing up for a dedicated account number?
Learn More
Learn More
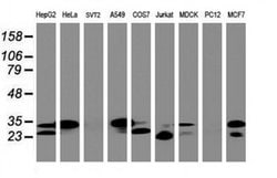
PPT1 Monoclonal Antibody (OTI1B10), TrueMAB™, OriGene

Mouse Monoclonal Antibody
Supplier: OriGene TA800501

Description
The protein encoded by this gene is a small glycoprotein involved in the catabolism of lipid-modified proteins during lysosomal degradation. The encoded enzyme removes thioester-linked fatty acyl groups such as palmitate from cysteine residues. Defects in this gene are a cause of infantile neuronal ceroid lipofuscinosis 1 (CLN1, or INCL) and neuronal ceroid lipofuscinosis 4 (CLN4). Two transcript variants encoding different isoforms have been found for this gene.Specifications
PPT1 | |
Monoclonal | |
1 mg/mL | |
PBS with 1% BSA, 50% glycerol and 0.02% sodium azide | |
P50897 | |
PPT1 | |
Human recombit protein fragment corresponding to amino acids 100-306 of human PPT1 produced in E.coli. | |
100 μL | |
Primary | |
Canine, Human | |
Antibody | |
IgG1 |
Western Blot | |
OTI1B10 | |
Unconjugated | |
PPT1 | |
CLN1, INCL, PPT | |
Mouse | |
Affinity Chromatography | |
RUO | |
475316, 5538 | |
-20° C, Avoid Freeze/Thaw Cycles | |
Liquid |
Product Content Correction
The Fisher Scientific Encompass Program offers items which are not part of our distribution portfolio. These products typically do not have pictures or detailed descriptions. However, we are committed to improving your shopping experience. Please use the form below to provide feedback related to the content on this product.
Product Title
Spot an opportunity for improvement?Share a Content Correction