Promotional price valid on web orders only. Your contract pricing may differ. Interested in signing up for a dedicated account number?
Learn More
Learn More
Invitrogen™ PRDX6 Monoclonal Antibody (7G1)

Mouse Monoclonal Antibody
Supplier: Invitrogen™ MA534906
Description
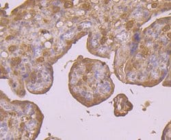
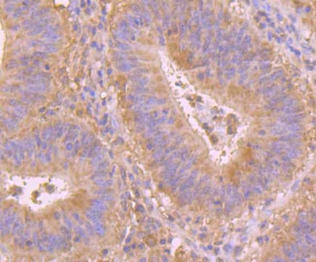
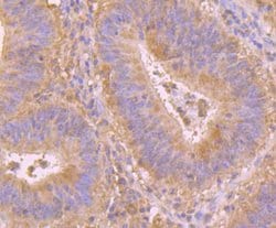
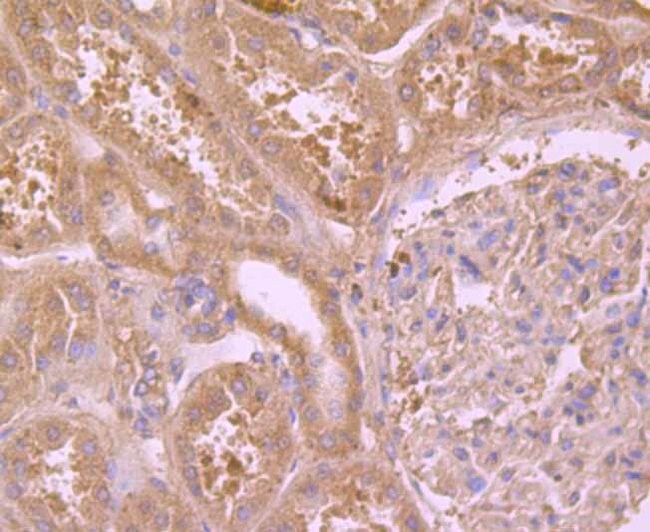
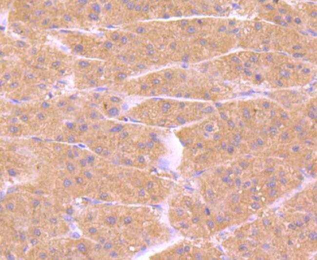
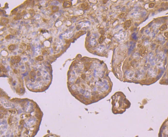
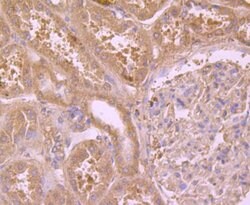
Positive Control: PC-3M, K562, A431, SiHa, human liver tissue, human colon cancer tissue, human kidney tissue, human placenta tissue.
Peroxiredoxin (Prx) is a growing peroxidase family, whose mammalian members have been known to connect with cell proliferation, differentiation, and apoptosis. Many isoforms (about 50 proteins), collected in accordance to the amino acid sequence homology, containing active site cysteine residue, and the thiol-specific antioxidant activity, distribute throughout all the kingdoms. Among them, mammalian Prx consists of 6 different members grouped into typical 2-Cys, atypical 2-Cys Prx, and 1-Cys Prx. Except Prx VI belonging to 1-Cys Prx subgroup, the other five 2-Cys Prx isotypes have the thioredoxin-dependent peroxidase (TPx) activity utilizing thioredoxin, thioredoxin reductase, and NADPH as a reducing system. Mammalian Prxs are 20-30 kilodalton in molecular size and vary in subcellular localization: Prx I, II, and VI in cytosol, Prx III in mitochondria, Prx IV in ER and secretion, Prx V showing complicated distribution including peroxisome, mitochondria and cytosol.
Specifications
PRDX6 | |
Monoclonal | |
2 mg/mL | |
PBS with 0.2% BSA, 50% glycerol and 0.05% sodium azide; pH 7.4 | |
P30041 | |
PRDX6 | |
Recombinant full length protein of Human PRDX6. | |
100 μL | |
Primary | |
Human | |
Antibody | |
IgG1 |
Flow Cytometry, Immunohistochemistry (Paraffin), Western Blot, Immunocytochemistry | |
7G1 | |
Unconjugated | |
PRDX6 | |
1-Cys; 1-Cys peroxiredoxin; 1-Cys PRX; 1-cysPrx; 24 kDa protein; 9430088D19Rik; AA690119; Acidic calcium-independent phospholipase A2; aiPLA2; Antioxidant protein 2; Aop2; Brp-12; CP-3; epididymis secretory sperm binding protein Li 128m; GPx; HEL-S-128m; KIAA0106; Liver 2D page spot 40; Ltw4; Ltw-4; Lvtw-4; MGC46173; MSP23; NKEFA; Non-selenium glutathione peroxidase; NSGPx; ORF06; p29; PAG; PAGA; PAGB; peroxiredoxin 6; peroxiredoxin-6; Prdx5; Prdx6; PRX; Prx6; Red blood cells page spot 12; thiol-specific antioxidant protein; Tsa | |
Mouse | |
Protein G | |
RUO | |
9588 | |
-20°C, Avoid Freeze/Thaw Cycles, store in dark | |
Liquid |
Product Content Correction
Your input is important to us. Please complete this form to provide feedback related to the content on this product.
Product Title
Spot an opportunity for improvement?Share a Content Correction