Learn More
PRKRIR Rabbit anti-Human, Mouse, Polyclonal, Bethyl Laboratories
Rabbit Polyclonal Antibody
Supplier: Bethyl Laboratories, Inc A300586A

Description
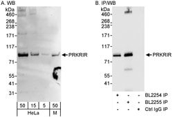
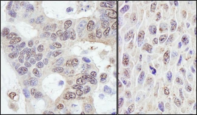
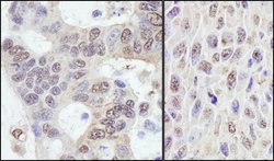
The recommended shelf life for this product is 1 year from date of receipt. Application Note: For IHC, epitope retrieval with citrate buffer pH 6.0 is recommended for FFPE tissue sections.
Upstream regulator of interferon-induced serine/threonine protein kinase R (PKR). May block the PKR-inhibitory function of DNAJC3, resulting in restoration of kinase activity and suppression of cell growth.Specifications
PRKRIR | |
Polyclonal | |
Unconjugated | |
THAP12 | |
THAP12; DAP4; P52RIPK; PRKRIR; THAP0 | |
Rabbit | |
Antigen affinity chromatography | |
RUO | |
5612, 72981 | |
4° C | |
Liquid |
Immunohistochemistry, Immunoprecipitation, Western Blot | |
0.2 mg/ml | |
TBS with 0.1% BSA and 0.09% sodium azide | |
O43422, Q9CUX1 | |
Thap12 | |
Between 150 and 200 | |
100 μL | |
Primary | |
Human, Mouse | |
Antibody | |
IgG |
The Fisher Scientific Encompass Program offers items which are not part of our distribution portfolio. These products typically do not have pictures or detailed descriptions. However, we are committed to improving your shopping experience. Please use the form below to provide feedback related to the content on this product.