Learn More
Invitrogen™ PRMT5 Polyclonal Antibody

Rabbit Polyclonal Antibody
Supplier: Invitrogen™ PA590290
Description
Positive Samples: Jurkat, HepG2, HeLa, NIH/3T3, PC-12, COS-1; Cellular Location: Cytoplasm, Golgi apparatus, Nucleus Immunogen sequence: MAAMAVGGAG GSRVSSGRDL NCVPEIADTL GAVAKQGFDF LCMPVFHPRF KREFIQEPAK NRPGPQTRSD LLLSGRDWNT LIVGKLSPWI RPDSKVEKIR RNSEAAMLQE LNFGAYLGLP AFLLPLNQED NTNLARVLTN HIHTGHHSSM FWMRVPLVAP EDLRDDIIEN APTTHTEEYS GEEKTWMWWH NFRTLCDYSK RIAVALEIGA DLPSNHVIDR WLGEPIKAAI LPTSIFLTNK KGFPVLSKMH.
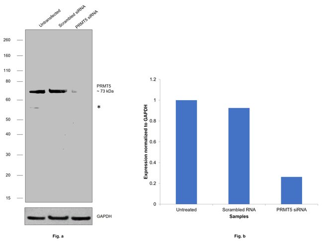
PRMT5 (protein arginine N-methyltransferase 5) is an arginine methyltransferase that can both catalyze the formation of omega-N monomethylarginine (MMA) and symmetrical dimethylarginine (sDMA), with a preference for the formation of MMA. PRMT5 specifically mediates the symmetrical dimethylation of arginine residues in the small nuclear ribonucleoproteins Sm D1 and Sm D3; such methylation is required for the assembly and biogenesis of snRNP core particles.
Specifications
PRMT5 | |
Polyclonal | |
Unconjugated | |
PRMT5 | |
72 kDa ICln-binding protein; EC 2.1.1.125; histone-arginine N-methyltransferase PRMT5; HMT1 hnRNP methyltransferase-like 5; HRMT1L5; hypothetical protein; I79_013398; IBP72; Jak-binding protein 1; JBP1; PRMT5; protein arginine methyltransferase 5; protein arginine N-methyltransferase 5; Protein arginine N-methyltransferase 5, N-terminally processed; protein arginine N-methyltransferase 5-like; shk1 kinase-binding protein 1 homolog; Skb1; SKB1 homolog; SKB1Hs | |
Rabbit | |
Affinity Chromatography | |
RUO | |
10419, 27374, 364382 | |
-20°C, Avoid Freeze/Thaw Cycles | |
Liquid |
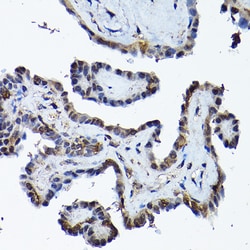
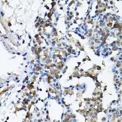
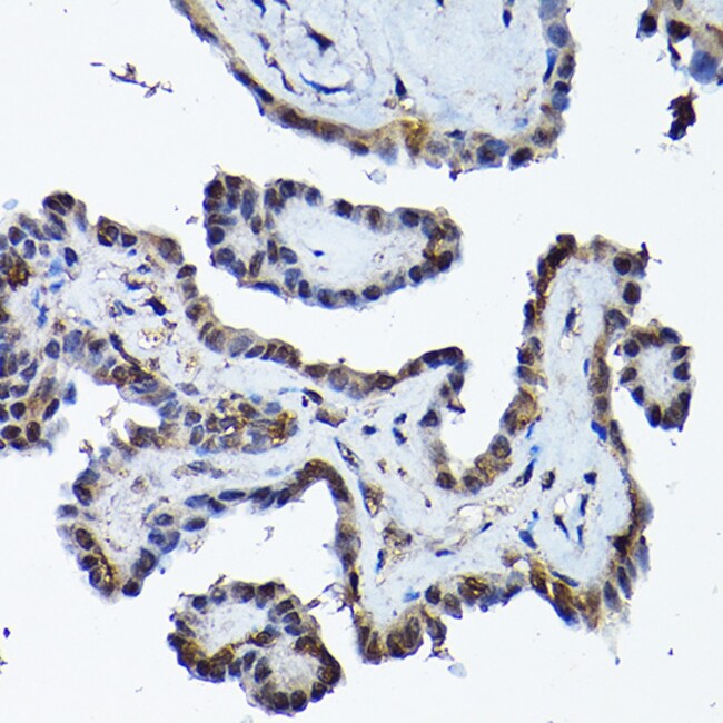
ELISA, Immunohistochemistry (Paraffin), Western Blot, Immunocytochemistry | |
0.3 mg/mL | |
PBS with 50% glycerol and 0.02% sodium azide; pH 7.3 | |
O14744, Q8CIG8 | |
PRMT5 | |
Recombinant fusion protein containing a sequence corresponding to amino acids 1-250 of human PRMT5 (NP_0061002). | |
100 μL | |
Primary | |
Human, Mouse, Rat, Rat | |
Antibody | |
IgG |
Your input is important to us. Please complete this form to provide feedback related to the content on this product.