Learn More
Invitrogen™ Profilin 1 Recombinant Rabbit Monoclonal Antibody (JA30-13)

Rabbit Recombinant Monoclonal Antibody
Supplier: Invitrogen™ MA532683
Description
Recombinant rabbit monoclonal antibodies are produced using in vitro expression systems. The expression systems are developed by cloning in the specific antibody DNA sequences from immunoreactive rabbits. Then, individual clones are screened to select the best candidates for production. The advantages of using recombinant rabbit monoclonal antibodies include: better specificity and sensitivity, lot-to-lot consistency, animal origin-free formulations, and broader immunoreactivity to diverse targets due to larger rabbit immune repertoire.
Profilin is an ubiquitous small (12-15 kDa) phosphoinositides and poly-L-proline binding protein that plays a role in both signal transduction pathways and actin filament dynamics. There are two mammalian profilins with similar biochemical properties but different expression patterns. Profilin I appears to be highly expressed in most tissues except for skeletal muscle. Profilin II is predominantly expressed in brain and at lower levels in skeletal muscle, uterus and kidney. Profilin is a mainly cytosolic protein with higher concentrations in dynamic membrane areas like the leading edge and ruffling membranes.
Specifications
| Profilin 1 | |
| Recombinant Monoclonal | |
| 1 mg/mL | |
| TBS with 40% Glycerol, 0.05% BSA and 0.05% sodium azide; pH 7.4 | |
| P07737, P62962, P62963 | |
| Pfn1 | |
| Synthetic peptide within Human Profilin 1 aa 91-140. | |
| 100 μL | |
| Primary | |
| Human, Mouse, Rat | |
| Antibody | |
| IgG |
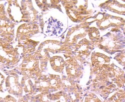
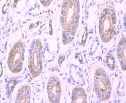
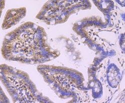
| Flow Cytometry, Immunohistochemistry (Paraffin), Western Blot, Immunocytochemistry, Western Blot | |
| JA30-13 | |
| Unconjugated | |
| Pfn1 | |
| actin binding protein; ALS18; Epididymis tissue protein Li 184a; Pfn; Pfn1; profilin 1; profilin I; Profilin-1 | |
| Rabbit | |
| Protein A | |
| RUO | |
| 18643, 5216, 64303 | |
| Store at 4°C short term. For long term storage, store at -20°C, avoiding freeze/thaw cycles. | |
| Liquid |
Your input is important to us. Please complete this form to provide feedback related to the content on this product.