Promotional price valid on web orders only. Your contract pricing may differ. Interested in signing up for a dedicated account number?
Learn More
Learn More
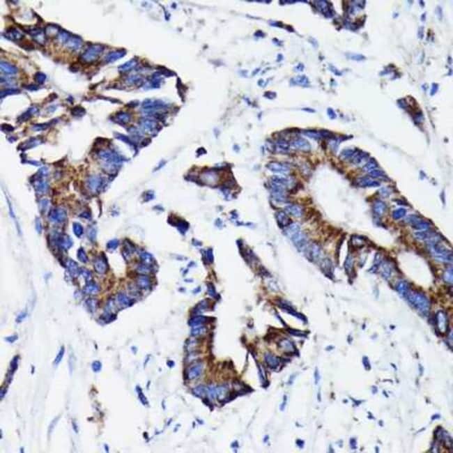
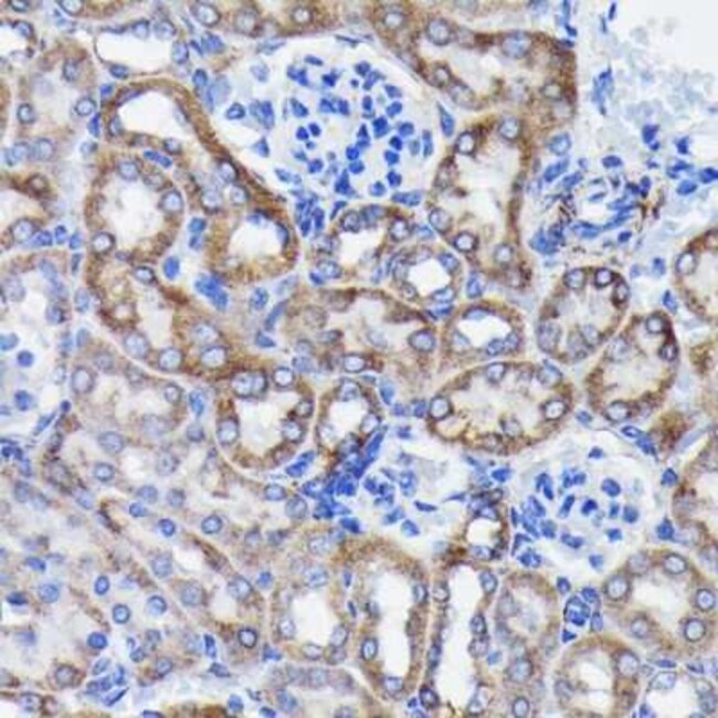
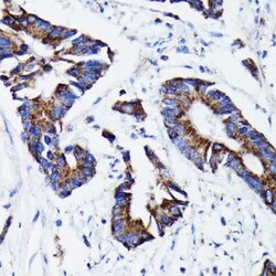
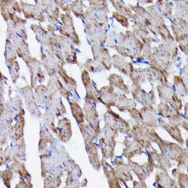
Prohibitin Rabbit anti-Human, Mouse, Rat, Clone: 0V2R10, Novus Biologicals™

Rabbit Monoclonal Antibody
Supplier: Novus Biologicals NBP315756100UL
This item is not returnable.
View return policy
Description
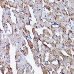
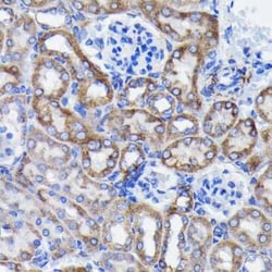
Prohibitin Monoclonal antibody specifically detects Prohibitin in Human, Mouse, Rat samples. It is validated for Western Blot, Immunohistochemistry, Immunohistochemistry (Paraffin)Specifications
| Prohibitin | |
| Monoclonal | |
| Unconjugated | |
| PBS, 0.05% BSA, 50% glycerol, pH7.3 | |
| Rabbit | |
| Affinity purified | |
| RUO | |
| Primary | |
| Human, Mouse, Rat | |
| Purified |
| Western Blot, Immunohistochemistry, Immunohistochemistry (Paraffin) | |
| 0V2R10 | |
| Western Blot, Immunohistochemistry 1:50 - 1:200, Immunohistochemistry-Paraffin | |
| PHB1, prohibitin | |
| A synthetic peptide corresponding to a sequence within amino acids 100-200 of human Prohibitin (P35232). | |
| 100 μg | |
| Cell Cycle and Replication, Core ESC Like Genes, Ovarian Carcinoma Cell Markers, Stem Cell Markers | |
| 5245 | |
| Store at -20°C. Avoid freeze-thaw cycles. | |
| IgG |
Product Content Correction
Your input is important to us. Please complete this form to provide feedback related to the content on this product.
Product Title
Spot an opportunity for improvement?Share a Content Correction