Promotional price valid on web orders only. Your contract pricing may differ. Interested in signing up for a dedicated account number?
Learn More
Learn More
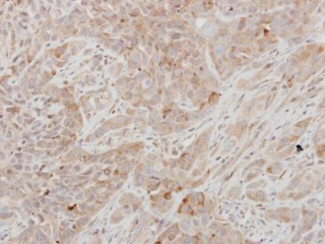
Invitrogen™ Prolactin Polyclonal Antibody

Rabbit Polyclonal Antibody
Supplier: Invitrogen™ PA529925
Description
Recommended positive controls: NT2D1. Predicted reactivity: Pig (80%), Rhesus Monkey (97%). Store product as a concentrated solution. Centrifuge briefly prior to opening the vial.
Prolactin (PRL) is a pituitary hormone involved in the stimulation of milk production, salt and water regulation, growth, development and reproduction. PRL exerts its influence on different cell types through a signal transduction pathway which begins with the binding of the hormone to a transmembrane PRL receptor.
Specifications
Prolactin | |
Polyclonal | |
Unconjugated | |
PRL | |
AV290867; decidual prolactin; GHA1; growth hormone A1; Human prolactin; lactogenic prehormone (AA -30 to 199); preprolactin; pre-prolactin; Prl; Prl1a1; PRLB; PRLSD1; Prol; Prolactin; prolactin family 1, subfamily a, member 1; prolactin precursor; prolactin protein; RATPRLSD1; RNPROL | |
Rabbit | |
Antigen affinity chromatography | |
RUO | |
5617 | |
Store at 4°C short term. For long term storage, store at -20°C, avoiding freeze/thaw cycles. | |
Liquid |
Immunohistochemistry (Paraffin), Western Blot | |
0.34 mg/mL | |
0.1M tris glycine with 20% glycerol and 0.01% thimerosal; pH 7 | |
P01236 | |
PRL | |
Recombinant protein encompassing a sequence within the center region of human Prolactin. The exact sequence is proprietary. | |
100 μL | |
Primary | |
Human | |
Antibody | |
IgG |
Product Content Correction
Your input is important to us. Please complete this form to provide feedback related to the content on this product.
Product Title
Spot an opportunity for improvement?Share a Content Correction