Promotional price valid on web orders only. Your contract pricing may differ. Interested in signing up for a dedicated account number?
Learn More
Learn More
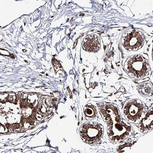
Invitrogen™ Prosapip2 Polyclonal Antibody

Rabbit Polyclonal Antibody
Supplier: Invitrogen™ PA584547
Description
Immunogen sequence: GEEHGFSLYE IKDGSLLEVE KVSLQQRLNQ FQHELQKNKE QEEQLGEMIQ AYEKLCVEKS DLETELREMR ALVETHLRQI CGLE.
Prosapip2 (TBKBP1) is essential for signal transduction during viral infection thus plays a major role in the TNF/NF-kappa-B pathway. It is an adaptor protein that constitutively binds TBK1 (TANK-binding kinase) and IKBKE and may play a role in antiviral innate immunity. Prosapip2 is a 615 amino acid adaptor protein belonging to the fibrillar collagen family, consisting of trimers of identical alpha 1 chains which are linked to each other by interchain disulfide bonds. It has a ubiquitous expression with highest levels in ovary, followed by the neuronal system. Prosapip2 binds to TBK1 and helps in the activation of IRF3 which controls the expression of antiviral genes during infection. Recent studies show that Prosapip2 is an interaction partner of ProSAP2/Shank3 and actin, suggesting a role as a linker molecule between postsynaptic density and the cytoskeleton.
Specifications
| Prosapip2 | |
| Polyclonal | |
| Unconjugated | |
| TBKBP1 | |
| 3110043L15Rik; KIAA0775; Prosapip2; Protein ProSAPiP2; RGD:631328}; Similar to NAP1 TBK1 adapter; Sintbad; TANK-binding kinase 1-binding protein 1; TBK1 binding protein 1; TBK1-binding protein 1; Tbkbp1; tbkbp1 {ECO:0000312 | |
| Rabbit | |
| Antigen affinity chromatography | |
| RUO | |
| 9755 | |
| Store at 4°C short term. For long term storage, store at -20°C, avoiding freeze/thaw cycles. | |
| Liquid |
| Immunohistochemistry (Paraffin), Immunocytochemistry, Immunohistochemistry (Paraffin) | |
| 0.2 mg/mL | |
| PBS with 40% glycerol and 0.02% sodium azide; pH 7.2 | |
| A7MCY6 | |
| TBKBP1 | |
| Recombinant protein corresponding to Human TBKBP1. Recombinant protein control fragment (Product #RP-103445). | |
| 100 μL | |
| Primary | |
| Human | |
| Antibody | |
| IgG |
Product Content Correction
Your input is important to us. Please complete this form to provide feedback related to the content on this product.
Product Title
Spot an opportunity for improvement?Share a Content Correction