Promotional price valid on web orders only. Your contract pricing may differ. Interested in signing up for a dedicated account number?
Learn More
Learn More
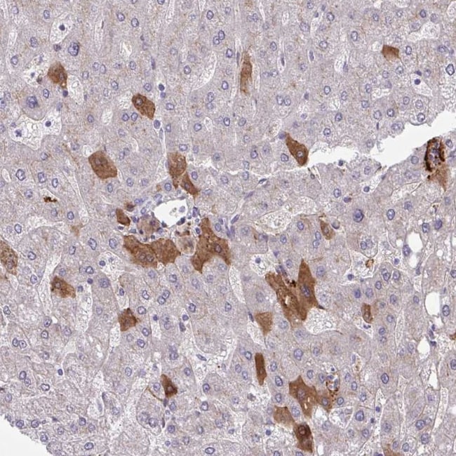
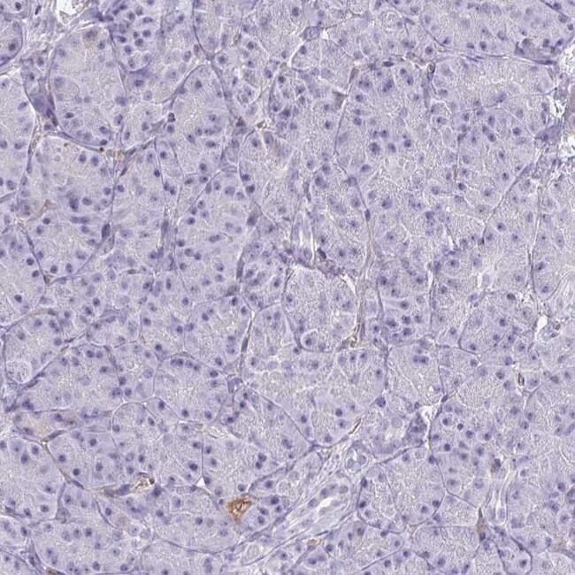
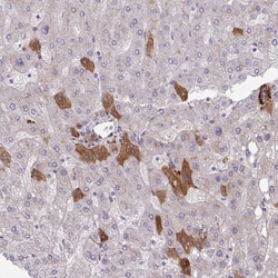
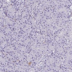
Invitrogen™ Thrombin Polyclonal Antibody

Rabbit Polyclonal Antibody
Supplier: Invitrogen™ PA5111397
Description
Immunogen sequence: EGVWCYVAGK PGDFGYCDLN YCEEAVEEET GDGLDEDSDR AIEGRTATSE YQTFFNPRTF GSGEADCGLR PLFEKKSLE.
Coagulation factor II is proteolytically cleaved to form thrombin in the first step of the coagulation cascade which ultimately results in the stemming of blood loss. F2 also plays a role in maintaining vascular integrity during development and postnatal life. Mutations in F2 leads to various forms of thrombosis and dysprothrombinemia.
Specifications
| Thrombin | |
| Polyclonal | |
| PBS with 40% glycerol and 0.02% sodium azide; pH 7.2 | |
| P00734 | |
| F2 | |
| Recombinant Protein corresonding to Human Prothrombin. Recombinant protein control fragment (Product #RP-101519). | |
| 100 μL | |
| Primary | |
| Human | |
| Antibody | |
| IgG |
| Immunohistochemistry (Paraffin) | |
| Unconjugated | |
| F2 | |
| Activation peptide fragment 1; Activation peptide fragment 2; Cf2; Cf-2; coagulation factor 2; coagulation factor II; coagulation factor II (thrombin); coagulation factor II, thrombin; F2; FII; prepro-coagulation factor II; Prothombin; prothrombin; prothrombin B-chain; PT; RPRGL2; serine protease; THPH1; thrombin; Thrombin heavy chain; Thrombin light chain | |
| Rabbit | |
| Antigen affinity chromatography | |
| RUO | |
| 2147 | |
| Store at 4°C short term. For long term storage, store at -20°C, avoiding freeze/thaw cycles. | |
| Liquid |
Safety and Handling
WARNING: Cancer - www.P65Warnings.ca.gov
Product Content Correction
Your input is important to us. Please complete this form to provide feedback related to the content on this product.
Product Title
Spot an opportunity for improvement?Share a Content Correction