Learn More
Invitrogen™ PRR16 Polyclonal Antibody

Description
Immunogen sequence: KCEDPKRVVP TANPVKTNGT LLRNGGLPGG PNKIPNGDIC CIPNSNLDKA PVQLLMHRPE KDRCPQAGPR ERVRFNEKVQ YHGYCPDCD Highest antigen sequence identity to the following orthologs: Mouse - 90%, Rat - 85%.
Specifications
Specifications
| Antigen | PRR16 |
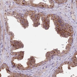
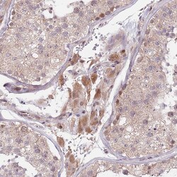
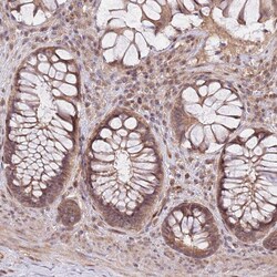
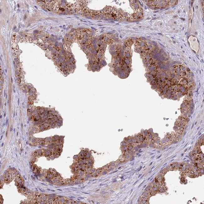
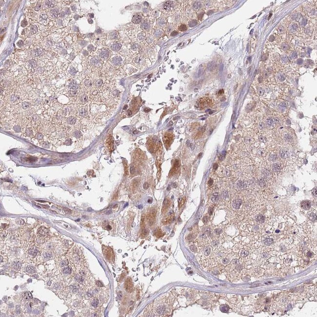
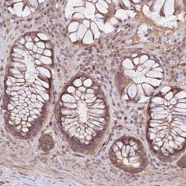
| Applications | Immunohistochemistry (Paraffin), Immunocytochemistry |
| Classification | Polyclonal |
| Concentration | 0.2 mg/mL |
| Conjugate | Unconjugated |
| Formulation | PBS with 40% glycerol and 0.02% sodium azide; pH 7.2 |
| Gene | PRR16 |
| Gene Accession No. | Q569H4 |
| Gene Alias | 5430406M13Rik; AI607429; DSC54; LARGEN; mesenchymal stem cell protein DSC54; proline rich 16; proline-rich protein 16; Protein Largen; prr16; RGD1564528 |
| Gene Symbols | PRR16 |
| Show More |
Safety and Handling
By clicking Submit, you acknowledge that you may be contacted by Fisher Scientific in regards to the feedback you have provided in this form. We will not share your information for any other purposes. All contact information provided shall also be maintained in accordance with our Privacy Policy.