Promotional price valid on web orders only. Your contract pricing may differ. Interested in signing up for a dedicated account number?
Learn More
Learn More
Invitrogen™ PSA Polyclonal Antibody

Rabbit Polyclonal Antibody
Supplier: Invitrogen™ PA5119631
This item is not returnable.
View return policy
Description
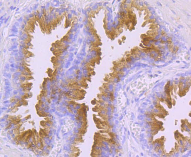
Positive Control: Human prostate tissue. Subcellular Location: Secreted.
PSA is a chymotrypsin-like serine protease (kallikrein family) produced by the prostate epithelium, and is abundant in seminal fluid. PSA can be detected in the sera of patients with prostatic carcinoma. It is predominantly complexed to a liver-derived serine protease inhibitor, alpha-1-antichymotrypsin (ACT). A higher proportion of serum PSA is complexed to ACT in prostate cancer than in benign prostate hyperplasia. PSA is used to confirm prostatic acinar cell origin in primary and metastatic carcinoma and to rule out non-prostatic carcinoma mimics.
Specifications
PSA | |
Polyclonal | |
Unconjugated | |
KLK3 | |
Antigen; antigen, prostate specific; APS; Fletcher factor; gamma-seminoprotein; hK3; Kal3; Kal-3; Kallikrein 3; kallikrein 3, plasma; kallikrein B, plasma 1; kallikrein related peptidase 3; kallikrein-3; Kallikrein-3 (KLK3); kallikrein-related peptidase 3; Kalp1; KALP15; Kininogenin; KLK2A1; Klk3; KLK-3; Klkb1; P-30 antigen; Pk; Plasma kallikrein; Plasma kallikrein heavy chain; Plasma kallikrein light chain; Plasma prekallikrein; prostate specific antigen; prostate-specific (APS); prostate-specific antigen; PSA; Semenogelase; seminin | |
Rabbit | |
Affinity Chromatography | |
RUO | |
354 | |
Store at 4°C short term. For long term storage, store at -20°C, avoiding freeze/thaw cycles. | |
Liquid |
Immunohistochemistry (Paraffin) | |
1 mg/mL | |
PBS with 0.2% BSA, 50% glycerol and 0.05% sodium azide; pH 7.4 | |
P07288 | |
KLK3 | |
Synthetic peptide within C-terminal human Prostate-Specific Antigen. | |
100 μL | |
Primary | |
Human | |
Antibody | |
IgG |
Safety and Handling
WARNING: Cancer - www.P65Warnings.ca.gov
Product Content Correction
Your input is important to us. Please complete this form to provide feedback related to the content on this product.
Product Title
Spot an opportunity for improvement?Share a Content Correction