Promotional price valid on web orders only. Your contract pricing may differ. Interested in signing up for a dedicated account number?
Learn More
Learn More
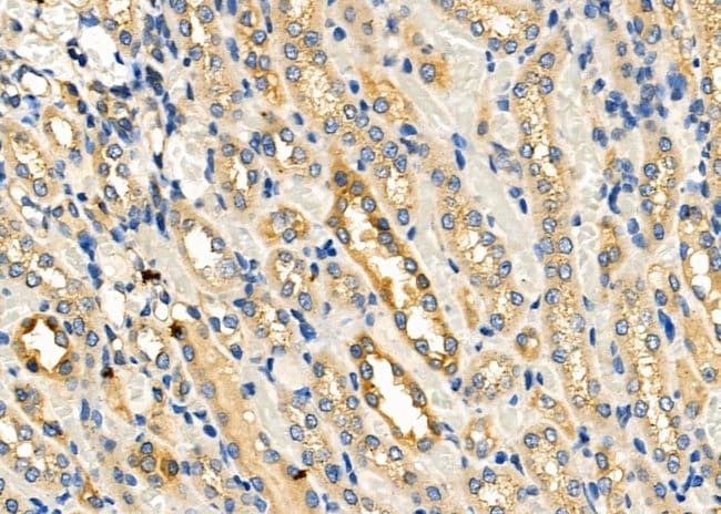
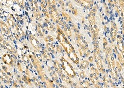
Invitrogen™ PTGES Polyclonal Antibody

Rabbit Polyclonal Antibody
Supplier: Invitrogen™ PA5115747
Description
Antibody detects endogenous levels of total PGE synthase.
PTGES is a glutathione-dependent prostaglandin E synthase. The expression of this gene has been shown to be induced by proinflammatory cytokine interleukin 1 beta (IL1B). Its expression can also be induced by tumor suppressor protein TP53, and may be involved in TP53 induced apoptosis.
Specifications
| PTGES | |
| Polyclonal | |
| Unconjugated | |
| PTGES | |
| 2410099E23Rik; D2Ertd369e; glutathione S-transferase 1-like 1; MGST1L1; MGST1-L1; MGST1-like 1; MGST-IV; Microsomal glutathione S-transferase 1-like 1; microsomal prostaglandin E synthase 1; microsomal prostaglandin E synthase-1; MPGES; MPGES1; mPGES-1; p53-induced apoptosis protein 12; p53-induced gene 12 protein; Pges; PIG12; PP102; PP1294; Prostaglandin E synthase; PTGES; TP53I12; tumor protein p53 inducible protein 12 | |
| Rabbit | |
| Affinity Chromatography | |
| RUO | |
| 59103, 64292, 9536 | |
| -20°C | |
| Liquid |
| Immunohistochemistry (Paraffin), Western Blot | |
| 1 mg/mL | |
| PBS with 50% glycerol and 0.02% sodium azide | |
| O14684, Q9JM51 | |
| PTGES | |
| A synthesized peptide derived from human PTGES(Accession O14684), corresponding to amino acid residues R40-S90. | |
| 100 μL | |
| Primary | |
| Human, Mouse, Rat | |
| Antibody | |
| IgG |
Safety and Handling
WARNING: Cancer - www.P65Warnings.ca.gov
Product Content Correction
Your input is important to us. Please complete this form to provide feedback related to the content on this product.
Product Title
Spot an opportunity for improvement?Share a Content Correction