Promotional price valid on web orders only. Your contract pricing may differ. Interested in signing up for a dedicated account number?
Learn More
Learn More
PTH1R/PTHR1 Rabbit anti-Human, Polyclonal, Novus Biologicals™

Rabbit Polyclonal Antibody
Supplier: Novus Biologicals NBP31699625UL
This item is not returnable.
View return policy
Description
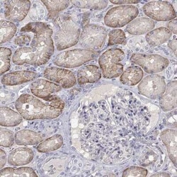
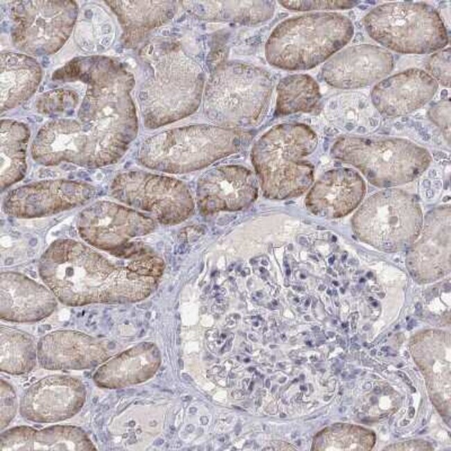
PTH1R/PTHR1 Polyclonal antibody specifically detects PTH1R/PTHR1 in Human samples. It is validated for Immunohistochemistry, Immunohistochemistry (Paraffin)Specifications
PTH1R/PTHR1 | |
Polyclonal | |
Immunohistochemistry 1:50 - 1:200, Immunohistochemistry-Paraffin 1:50 - 1:200 | |
MGC138426, parathyroid hormone 1 receptorMGC138452, parathyroid hormone/parathyroid hormone-related peptide receptor, parathyroid hormone/parathyroid hormone-related protein receptor, PFE, PTH/PTHr receptor, PTH/PTHrP type I receptor, PTH1 receptor, PTHRPTHR1parathyroid hormone receptor 1, seven transmembrane helix receptor | |
This antibody was developed against Recombinant Protein corresponding to amino acids: FLLHRAQAQCEKRLKEVLQRPASIMESDKGWTSASTSGKPRKDKASGKLYPESEEDKEAPTGSRYRGRPCLPEWDH | |
25 μg | |
Biologically Active Proteins, GPCR, Neuroscience, Signal Transduction | |
5745 | |
Store at 4°C short term. Aliquot and store at -20°C long term. Avoid freeze-thaw cycles. | |
IgG |
Immunohistochemistry, Immunohistochemistry (Paraffin) | |
Unconjugated | |
PBS, pH 7.2, 40% glycerol | |
Rabbit | |
Affinity purified | |
RUO | |
Primary | |
Human | |
Purified |
Product Content Correction
Your input is important to us. Please complete this form to provide feedback related to the content on this product.
Product Title
Spot an opportunity for improvement?Share a Content Correction