Promotional price valid on web orders only. Your contract pricing may differ. Interested in signing up for a dedicated account number?
Learn More
Learn More
Invitrogen™ PTK7 Polyclonal Antibody

Rabbit Polyclonal Antibody
Supplier: Invitrogen™ PA520425
Description
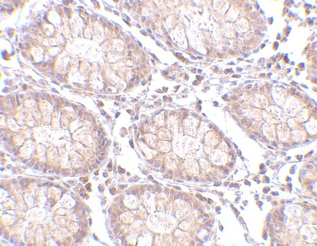
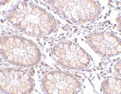
A suggested positive control is human colon tissue lysate. PA5-20425 can be used with blocking peptide PEP-0542.
CCK4 may function as a cell adhesion molecule. Although it belongs to the insulin receptor subfamily of the Tyr protein kinases, it likely lacks the catalytic activity of a tyrosine kinase. It may be connected to the pathophysiology of colon carcinomas and/or may represent a tumor progression marker. This Type I membrane protein is highly expressed in lung, liver, pancreas, kidney, placenta and melanocytes, but weakly expressed in thyroid gland, ovary, brain, heart and skeletal muscle, and not in colon. It is also expressed in erythroleukemia cells.
Specifications
| PTK7 | |
| Polyclonal | |
| Unconjugated | |
| Ptk7 | |
| 8430404F20Rik; CCK4; CCK-4; chz; Colon carcinoma kinase 4; inactive tyrosine-protein kinase 7; mPTK7/CCK4; protein chuzhoi; protein tyrosine kinase 7; protein tyrosine kinase 7 (inactive); protein-tyrosine kinase 7; Pseudo tyrosine kinase receptor 7; Ptk7; PTK7 protein tyrosine kinase 7; receptor tyrosine kinase-like protein; serum response factor; Srf; Tyrosine-protein kinase-like 7 | |
| Rabbit | |
| Antigen affinity chromatography | |
| RUO | |
| 301242, 5754, 71461 | |
| Maintain refrigerated at 2-8°C for up to 3 months. For long term storage store at -20°C | |
| Liquid |
| Immunohistochemistry, Western Blot | |
| 1 mg/mL | |
| PBS with 0.02% sodium azide | |
| Q13308, Q8BKG3 | |
| Ptk7 | |
| A 15 amino acid peptide from near the amino terminus of human PTK7. | |
| 100 μg | |
| Primary | |
| Human, Mouse, Rat | |
| Antibody | |
| IgG |
Safety and Handling
WARNING: Cancer - www.P65Warnings.ca.gov
Product Content Correction
Your input is important to us. Please complete this form to provide feedback related to the content on this product.
Product Title
Spot an opportunity for improvement?Share a Content Correction