Promotional price valid on web orders only. Your contract pricing may differ. Interested in signing up for a dedicated account number?
Learn More
Learn More
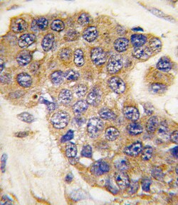
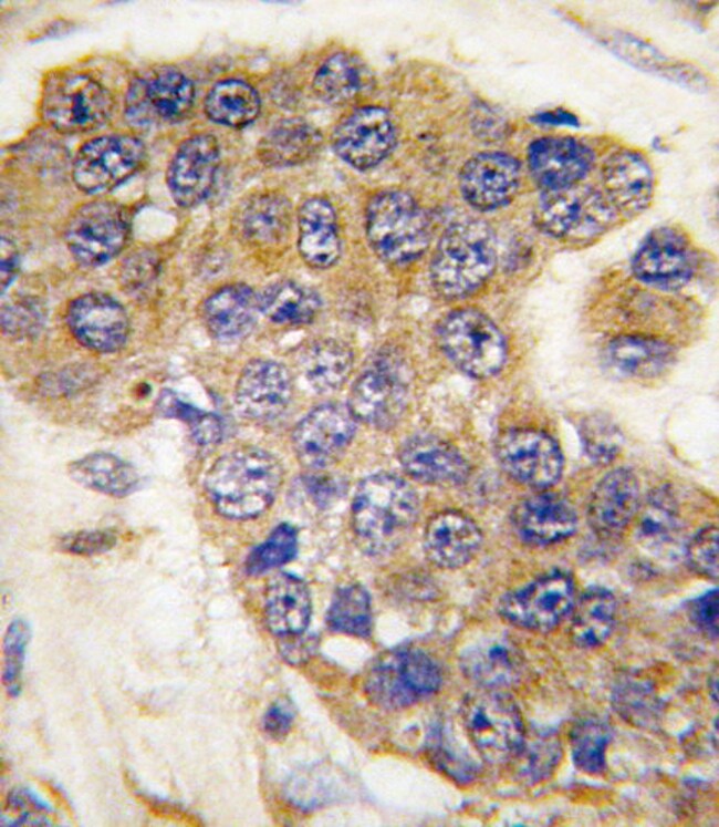
Invitrogen™ PUMA alpha Polyclonal Antibody

Rabbit Polyclonal Antibody
Supplier: Invitrogen™ PA511397
Description
This antibody is predicted to react with mouse and rat based on sequence homology.
PUMA is one of the pro-apoptotic Bcl-2 family members including Bax and Noxa, which are also transcriptional targets of p53. The PUMA gene encodes two BH3 domain-containing proteins termed PUMA-a and PUMA-b. PUMA proteins bind Bcl-2, localize to the mitochondria, and induce cytochrome c release and apoptosis in response to p53. PUMA may be a direct mediator of p53-induced apoptosis. Antisense inhibition of PUMA expression reduced the apoptotic response to p53, and PUMA is likely to play a role in mediating p53-induced cell death through the cytochrome c/Apaf-1-dependent pathway.
Specifications
PUMA alpha | |
Polyclonal | |
Unconjugated | |
BBC3 | |
BBC3; BCL2 binding component 3; Bcl-2 binding component 3; bcl-2-binding component 3; Bcl-2-binding component 3, isoforms 1/2; Bcl-2-binding component 3, isoforms 3/4; BH3-only; FLJ42994; JFY1; JFY-1; p53 up-regulated modulator of apoptosis; PUMA; PUMA/JFY1 | |
Rabbit | |
Ammonium sulfate precipitation, Size-exclusion - Dialysis | |
RUO | |
27113 | |
Store at 4°C short term. For long term storage, store at -20°C, avoiding freeze/thaw cycles. | |
Liquid |
Flow Cytometry, Immunohistochemistry (Paraffin), Western Blot, Immunocytochemistry | |
1.5 mg/mL | |
PBS with 0.09% sodium azide; pH 7.4 | |
Q9BXH1 | |
BBC3 | |
KLH conjugated synthetic peptide between 119-154 amino acids from human Puma BH3 Domain. | |
400 μL | |
Primary | |
Human | |
Antibody | |
IgG |
Safety and Handling
WARNING: Cancer - www.P65Warnings.ca.gov
Product Content Correction
Your input is important to us. Please complete this form to provide feedback related to the content on this product.
Product Title
Spot an opportunity for improvement?Share a Content Correction