Promotional price valid on web orders only. Your contract pricing may differ. Interested in signing up for a dedicated account number?
Learn More
Learn More
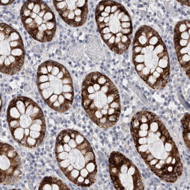
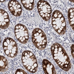
Invitrogen™ PWP2 Polyclonal Antibody

Rabbit Polyclonal Antibody
Supplier: Invitrogen™ PA555111
Description
Immunogen sequence: AGGMSKFVCI YHVREQILMK RFEISCNLSL DAMEEFLNRR KMTEFGNLAL IDQDAGQEDG VAIPLPGVRK GDMSSRHFKP EIRVTSLRFS PTGRCWAATT TEGLLIYSLD TRVLFDPFEL DTSVTPGRVR EALRQQDFTR AIL Highest antigen sequence identity to the following orthologs: Mouse - 90%, Rat - 90%.
PWP2 belongs to the WD repeat PWP2 family. It contains 14 WD repeats. The exact function of PWP2 is not known.
Specifications
| PWP2 | |
| Polyclonal | |
| Unconjugated | |
| PWP2 | |
| 6530411D08Rik; EHOC-17; periodic tryptophan protein 2 homolog; periodic tryptophan protein 2 homolog; LOW QUALITY PROTEIN: periodic tryptophan protein 2 homolog; Pwp2; PWP2 periodic tryptophan protein homolog; PWP2 periodic tryptophan protein homolog (yeast); PWP2 small subunit processome component; PWP2, small subunit processome component; PWP2, UTPB SSU processome subunit; PWP2H; UTP1; wdp103; WD-repeat protein p103 | |
| Rabbit | |
| Antigen affinity chromatography | |
| RUO | |
| 5822 | |
| Store at 4°C short term. For long term storage, store at -20°C, avoiding freeze/thaw cycles. | |
| Liquid |
| Immunohistochemistry (Paraffin), Western Blot, Immunocytochemistry | |
| 0.05 mg/mL | |
| PBS with 40% glycerol and 0.02% sodium azide; pH 7.2 | |
| Q15269 | |
| PWP2 | |
| Recombinant protein corresponding to Human PWP2. Recombinant protein control fragment (Product #RP-91784). | |
| 100 μL | |
| Primary | |
| Human | |
| Antibody | |
| IgG |
Product Content Correction
Your input is important to us. Please complete this form to provide feedback related to the content on this product.
Product Title
Spot an opportunity for improvement?Share a Content Correction