Promotional price valid on web orders only. Your contract pricing may differ. Interested in signing up for a dedicated account number?
Learn More
Learn More
PYCR2 Monoclonal Antibody (OTI5C7), TrueMAB™, OriGene

Mouse Monoclonal Antibody
Supplier: OriGene TA502144S


Description
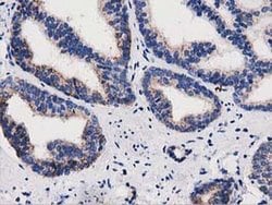
PYCR2 Monoclonal antibody specifically detects PYCR2 in Human samples. It is validated for Immunocytochemistry, Immunohistochemistry (Paraffin), Western BlotSpecifications
PYCR2 | |
Monoclonal | |
0.6 mg/mL | |
PBS with 1% BSA, 50% glycerol and 0.02% sodium azide | |
Q13547 | |
Mouse | |
Affinity chromatography | |
RUO | |
3065 | |
-20° C, Avoid Freeze/Thaw Cycles | |
IgG2a |
Immunocytochemistry, Immunohistochemistry (Paraffin), Western Blot | |
OTI5C7 | |
Unconjugated | |
HDAC1 | |
1810018M05Rik; HLD10; P5C reductase 2; P5CR 2; P5CR2; Pycr2; pyrroline 5-carboxylate reductase isoform; pyrroline-5-carboxylate reductase 2; pyrroline-5-carboxylate reductase family member 2; pyrroline-5-carboxylate reductase family, member 2; QtsA-16987; unnamed protein product | |
Full length human recombinant protein of human HDAC1 produced in HEK293T cell. | |
30 μL | |
Primary | |
Human | |
Liquid |
Product Content Correction
The Fisher Scientific Encompass Program offers items which are not part of our distribution portfolio. These products typically do not have pictures or detailed descriptions. However, we are committed to improving your shopping experience. Please use the form below to provide feedback related to the content on this product.
Product Title
Spot an opportunity for improvement?Share a Content Correction