Promotional price valid on web orders only. Your contract pricing may differ. Interested in signing up for a dedicated account number?
Learn More
Learn More
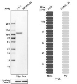
Invitrogen™ PYGL Polyclonal Antibody

Rabbit Polyclonal Antibody
Supplier: Invitrogen™ PA551492
Description
Immunogen sequence: MRIDDVAALD KKGYEAKEYY EALPELKLVI DQIDNGFFSP KQPDLFKDII NMLFYHDRFK VFADYEAYVK CQDKVSQLYM NPKAWNTMVL KNIAASGKFS SDRTIKEYAQ NIWNVEPSD Highest antigen sequence identity to the following orthologs: Mouse - 94%, Rat - 92%.
This gene encodes a homodimeric protein that catalyses the cleavage of alpha-1,4-glucosidic bonds to release glucose-1-phosphate from liver glycogen stores. This protein switches from inactive phosphorylase B to active phosphorylase A by phosphorylation of serine residue 15. Activity of this enzyme is further regulated by multiple allosteric effectors and hormonal controls. Humans have three glycogen phosphorylase genes that encode distinct isozymes that are primarily expressed in liver, brain and muscle, respectively. The liver isozyme serves the glycemic demands of the body in general while the brain and muscle isozymes supply just those tissues. In glycogen storage disease type VI, also known as Hers disease, mutations in liver glycogen phosphorylase inhibit the conversion of glycogen to glucose and results in moderate hypoglycemia, mild ketosis, growth retardation and hepatomegaly. Alternative splicing results in multiple transcript variants encoding different isoforms.
Specifications
PYGL | |
Polyclonal | |
Unconjugated | |
PYGL | |
glycogen liver; Glycogen phosphorylase, liver form; GPLL; GSD6; Lgp; liver glycogen phosphorylase; phosphorylase, glycogen, liver; PYGL | |
Rabbit | |
Antigen affinity chromatography | |
RUO | |
5836 | |
Store at 4°C short term. For long term storage, store at -20°C, avoiding freeze/thaw cycles. | |
Liquid |
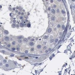
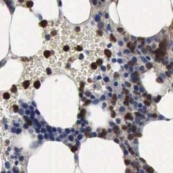
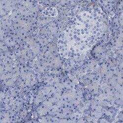
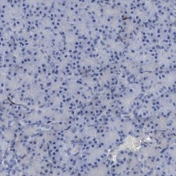
Immunohistochemistry (Paraffin), Western Blot, Immunocytochemistry | |
0.10 mg/mL | |
PBS with 40% glycerol and 0.02% sodium azide; pH 7.2 | |
P06737 | |
PYGL | |
Recombinant protein corresponding to Human PYGL. Recombinant protein control fragment (Product #RP-88883). | |
100 μL | |
Primary | |
Human | |
Antibody | |
IgG |
Product Content Correction
Your input is important to us. Please complete this form to provide feedback related to the content on this product.
Product Title
Spot an opportunity for improvement?Share a Content Correction