Learn More
Invitrogen™ QARS Polyclonal Antibody

Rabbit Polyclonal Antibody
Supplier: Invitrogen™ PA593316
Description
Immunogen sequence: MAALDSLSLF TSLGLSEQKA RETLKNSALS AQLREAATQA QQTLGSTIDK ATGILLYGLA SRLRDTRRLS FLVSYIASKK IHTEPQLSAA LEYVRSHPLD PIDTVDFERE CGVGVIVTPE QIEEAVEAAI NRHRPQLLVE RYHFNMGLLM GEARAVLKWA DGKMIKNEVD MQVLHLLGPK LEADLEKKFK VAKARLEETD RRTAKDVVEN GETADQTLSL MEQLRGEALK FHKPGENYKT PGYVVTPHTM; Positive Samples: HL-60, 293T, HeLa, Mouse testis; Cellular Location: Cytoplasm.
Aminoacyl-tRNA synthetases catalyze the aminoacylation of tRNA by their cognate amino acid. Because of their central role in linking amino acids with nucleotide triplets contained in tRNAs, aminoacyl-tRNA synthetases are thought to be among the first proteins that appeared in evolution. In metazoans, 9 aminoacyl-tRNA synthetases specific for glutamine (gln), glutamic acid (glu), and 7 other amino acids are associated within a multienzyme complex. Although present in eukaryotes, glutaminyl-tRNA synthetase (QARS) is absent from many prokaryotes, mitochondria, and chloroplasts, in which Gln-tRNA(Gln) is formed by transamidation of the misacylated Glu-tRNA(Gln). Glutaminyl-tRNA synthetase belongs to the class-I aminoacyl-tRNA synthetase family.
Specifications
| QARS | |
| Polyclonal | |
| Unconjugated | |
| QARS1 | |
| 1110018N24Rik; 1200016L19Rik; C80286; GLNRS; glutamine-tRNA ligase; Glutamine--tRNA ligase; glutamine-tRNA synthetase; glutaminyl-tRNA synthetase; MSCCA; PRO2195; QARS; RGD1562301 | |
| Rabbit | |
| Affinity Chromatography | |
| RUO | |
| 5859, 97541 | |
| -20°C, Avoid Freeze/Thaw Cycles | |
| Liquid |
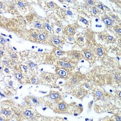
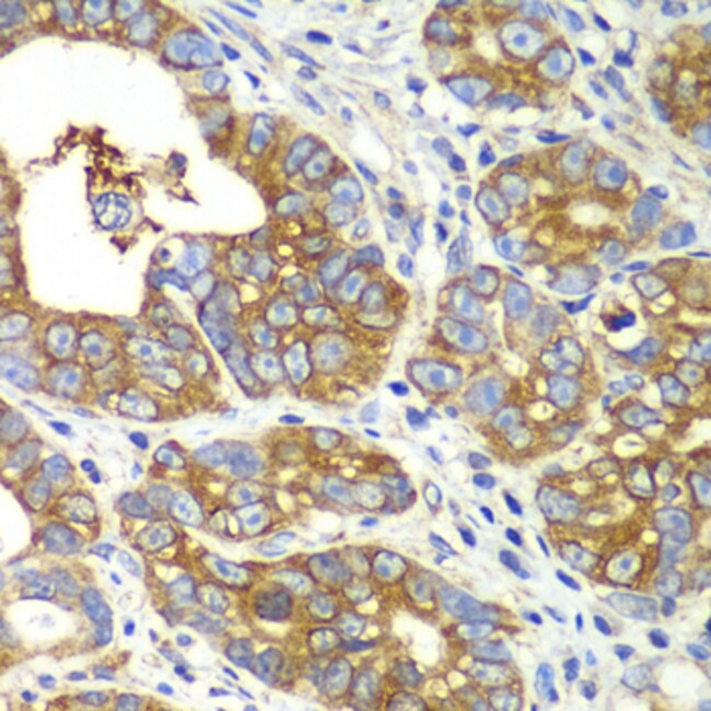
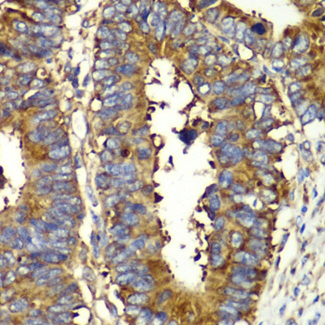
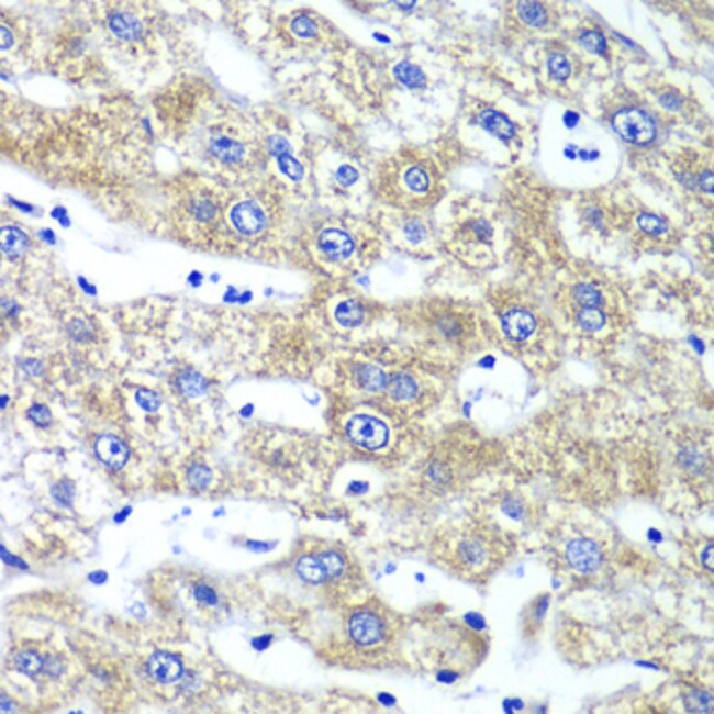
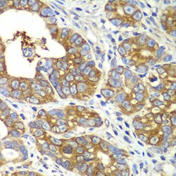
| ELISA, Immunohistochemistry (Paraffin), Western Blot, Immunocytochemistry | |
| 0.49 mg/mL | |
| PBS with 50% glycerol and 0.02% sodium azide; pH 7.3 | |
| P47897, Q8BML9 | |
| QARS1 | |
| Recombinant protein (or fragment). | |
| 100 μL | |
| Primary | |
| Human, Mouse | |
| Antibody | |
| IgG |
Your input is important to us. Please complete this form to provide feedback related to the content on this product.