Promotional price valid on web orders only. Your contract pricing may differ. Interested in signing up for a dedicated account number?
Learn More
Learn More
Invitrogen™ RAB17 Polyclonal Antibody

Rabbit Polyclonal Antibody
Supplier: Invitrogen™ PA5115816
Description
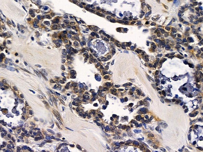
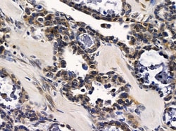
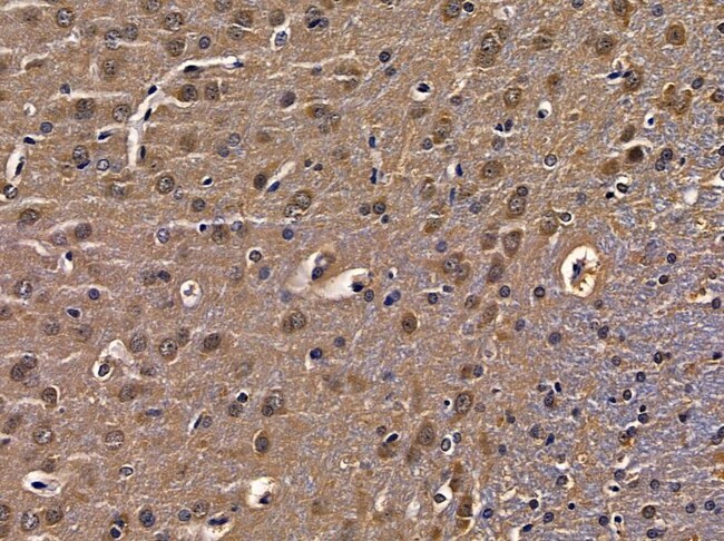
Antibody detects endogenous levels of total RAB17.
The Rab subfamily of small GTPases plays an important role in the regulation of membrane trafficking. RAB17 is an epithelial cell-specific GTPase.
Specifications
| RAB17 | |
| Polyclonal | |
| Unconjugated | |
| Rab17 | |
| AW413472; Rab17; RAB17, member RAS oncogene family; ras-related protein Rab-17; RGD1562478 | |
| Rabbit | |
| Affinity chromatography | |
| RUO | |
| 19329, 503269, 64284 | |
| -20°C | |
| Liquid |
| Immunohistochemistry (Paraffin), Western Blot, Immunocytochemistry | |
| 1 mg/mL | |
| PBS with 50% glycerol and 0.02% sodium azide | |
| P35292, Q9H0T7 | |
| Rab17 | |
| A synthesized peptide derived from human RAB17(Accession Q9H0T7), corresponding to amino acid residues S82-N132. | |
| 100 μL | |
| Primary | |
| Human, Mouse, Rat | |
| Antibody | |
| IgG |
Product Content Correction
Your input is important to us. Please complete this form to provide feedback related to the content on this product.
Product Title
Spot an opportunity for improvement?Share a Content Correction