Learn More
Invitrogen™ RAB21 Polyclonal Antibody

Description
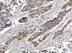
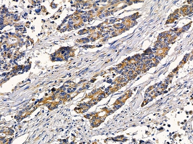
Antibody detects endogenous levels of total RAB21.
Specifications
Specifications
| Antigen | RAB21 |
| Applications | Immunohistochemistry (Paraffin), Western Blot |
| Classification | Polyclonal |
| Concentration | 1 mg/mL |
| Conjugate | Unconjugated |
| Formulation | PBS with 50% glycerol and 0.02% sodium azide; pH 7.4 |
| Gene | RAB21 |
| Gene Accession No. | P35282, Q6AXT5, Q9UL25 |
| Gene Alias | 9630024B22; GTP-binding protein RAB21; KIAA0118; Rab-12; Rab21; RAB21, member RAS oncogene family; ras-related protein Rab-21 |
| Gene Symbols | RAB21 |
| Show More |
Safety and Handling
By clicking Submit, you acknowledge that you may be contacted by Fisher Scientific in regards to the feedback you have provided in this form. We will not share your information for any other purposes. All contact information provided shall also be maintained in accordance with our Privacy Policy.