Learn More
Description
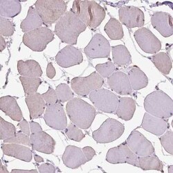
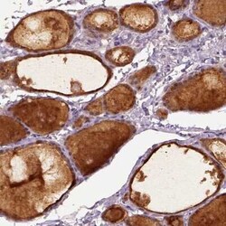
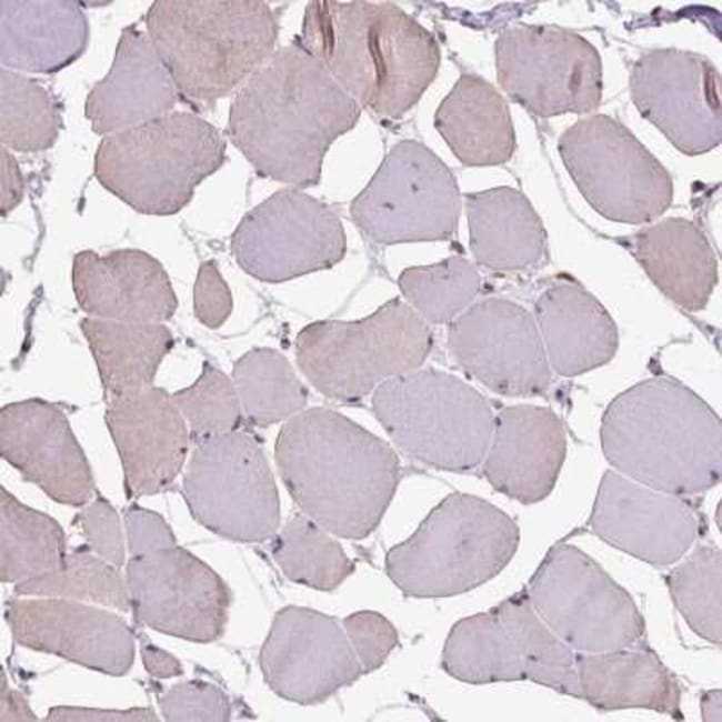
Specifications
Specifications
| Antigen | RAB43 |
| Applications | Immunohistochemistry, Immunohistochemistry (Paraffin) |
| Classification | Polyclonal |
| Conjugate | Unconjugated |
| Dilution | Immunohistochemistry 1:1000 - 1:2500, Immunohistochemistry-Paraffin 1:1000 - 1:2500 |
| Formulation | PBS (pH 7.2), 40% Glycerol |
| Gene Alias | MGC90481, RAB11B, RAB41ISY1, RAB43, member RAS oncogene family, Ras-related protein Rab-41, ras-related protein Rab-43 |
| Host Species | Rabbit |
| Immunogen | This antibody was developed against a recombinant protein corresponding to amino acids: EAFLRVATELIMRHGGPLFSEKSPDHIQLNSKDIGEGW |
| Purification Method | Immunogen affinity purified |
| Show More |
By clicking Submit, you acknowledge that you may be contacted by Fisher Scientific in regards to the feedback you have provided in this form. We will not share your information for any other purposes. All contact information provided shall also be maintained in accordance with our Privacy Policy.
