Promotional price valid on web orders only. Your contract pricing may differ. Interested in signing up for a dedicated account number?
Learn More

ADAMTS4 Rabbit anti-Dog, Horse, Human, Polyclonal Antibody, Abnova™

Rabbit polyclonal antibody raised against synthetic peptide of ADAMTS4.

Supplier:  Abnova Corporation PAB16220

Catalog No. 89-118-108


Only null left
Add to Cart

Description

Description

This gene encodes a member of the ADAMTS (a disintegrin and metalloproteinase with thrombospondin motifs) protein family. Members of the family share several distinct protein modules, including a propeptide region, a metalloproteinase domain, a disintegrin-like domain, and a thrombospondin type 1 (TS) motif. Individual members of this family differ in the number of C-terminal TS motifs, and some have unique C-terminal domains. The enzyme encoded by this gene lacks a C-terminal TS motif. It is responsible for the degradation of aggrecan, a major proteoglycan of cartilage, and brevican, a brain-specific extracellular matrix protein. The cleavage of aggrecan and brevican suggests key roles of this enzyme in arthritic disease and in the central nervous system, potentially, in the progression of glioma. [provided by RefSeq

Specifications

Specifications

ADAMTS4
Polyclonal
Rabbit polyclonal antibody raised against synthetic peptide of ADAMTS4.
In PBS (0.09% sodium azide)
O75173
ADAMTS4
A synthetic peptide (conjugated with KLH) corresponding to human ADAMTS4.
50 μg
Primary
C-terminal domain of human .
Store at 4°C. For long term storage store at -20°C.
Aliquot to avoid repeated freezing and thawing.
Immunohistochemistry (PFA fixed)
Unconjugated
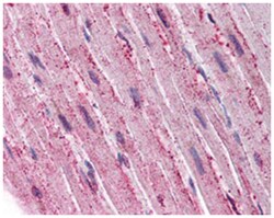
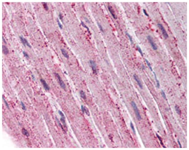
Immunohistochemistry (Formalin/PFA-fixed paraffin-embedded sections) (20 ug/mL) The optimal working dilution should be determined by the end user.
ADAMTS4
ADAMTS-2/ADAMTS-4/ADMP-1/KIAA0688
Rabbit
Immunoaffinity purification
RUO
9507
Canine, Equine, Human
Liquid
Product Suggestions

Product Suggestions

Videos
SDS
Documents

Documents

Product Certifications
Promotions

Promotions

Product Content Correction

Your input is important to us. Please complete this form to provide feedback related to the content on this product.

Product Title

By clicking Submit, you acknowledge that you may be contacted by Fisher Scientific in regards to the feedback you have provided in this form. We will not share your information for any other purposes. All contact information provided shall also be maintained in accordance with our Privacy Policy.

Your feedback has been submitted: Thank you for helping us improve our website.

For Research Use Only