Promotional price valid on web orders only. Your contract pricing may differ. Interested in signing up for a dedicated account number?
Learn More

AURKA (phospho T288), Rabbit anti-Human, Mouse, Polyclonal Antibody, Abnova™

Rabbit polyclonal antibody raised against synthetic phosphopeptide of AURKA.

Supplier:  Abnova Corporation PAB25906

Catalog No. 89-127-536


Only null left
Add to Cart

Description

Description

The protein encoded by this gene is a cell cycle-regulated kinase that appears to be involved in microtubule formation and/or stabilization at the spindle pole during chromosome segregation. The encoded protein is found at the centrosome in interphase cells and at the spindle poles in mitosis. This gene may play a role in tumor development and progression. A processed pseudogene of this gene has been found on chromosome 1, and an unprocessed pseudogene has been found on chromosome 10. Multiple transcript variants encoding the same protein have been found for this gene. [provided by RefSeq

Sequence: R-T-Tp-L-M
Specifications

Specifications

AURKA
Polyclonal
Unconjugated
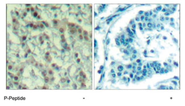
Immunohistochemistry (1:50-1:100) The optimal working dilution should be determined by the end user.
AURKA
AIK/ARK1/AURA/AURORA2/BTAK/MGC34538/STK15/STK6/STK7
Rabbit
Affinity chromatography
RUO
6790
Store at -20°C.
Aliquot to avoid repeated freezing and thawing.
Immunohistochemistry (PFA fixed)
1 mg/mL
Rabbit polyclonal antibody raised against synthetic phosphopeptide of AURKA.
In PBS (without mg2+ and Ca2+), 150mM NaCl, pH 7.4 (50% glycerol, 0.02% sodium azide)
O14965
AURKA
Synthetic phosphopeptide corresponding to residues surrounding T288 of human AURKA.
100 μg
Primary
Human, Mouse
Liquid
Product Suggestions

Product Suggestions

Videos
SDS
Documents

Documents

Product Certifications
Promotions

Promotions

Product Content Correction

Your input is important to us. Please complete this form to provide feedback related to the content on this product.

Product Title

By clicking Submit, you acknowledge that you may be contacted by Fisher Scientific in regards to the feedback you have provided in this form. We will not share your information for any other purposes. All contact information provided shall also be maintained in accordance with our Privacy Policy.

Your feedback has been submitted: Thank you for helping us improve our website.

For Research Use Only