Promotional price valid on web orders only. Your contract pricing may differ. Interested in signing up for a dedicated account number?
Learn More

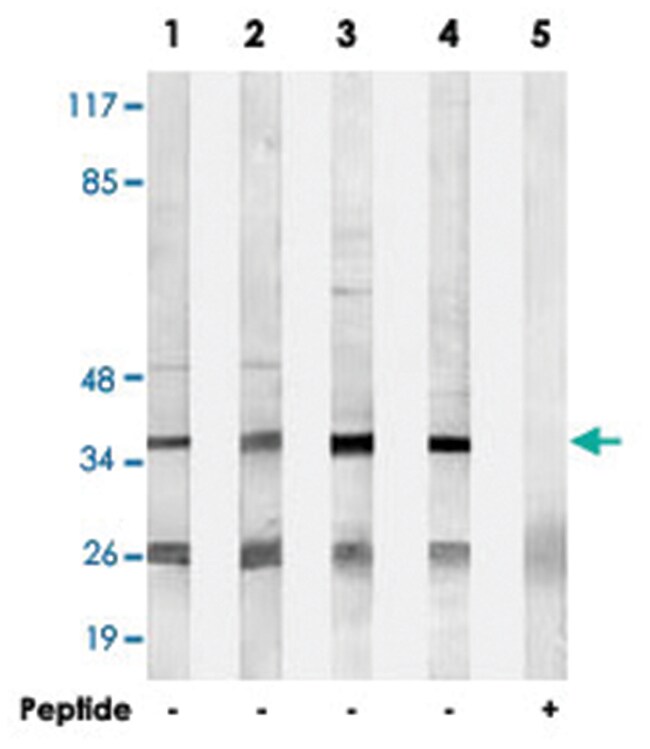
B3GALT1, Rabbit, Polyclonal Antibody, Abnova™

Rabbit polyclonal antibody raised against synthetic peptide of B3GALT1.

Supplier:  Abnova Corporation PAB17631

Catalog No. 89-119-294


Only null left
Add to Cart

Description

Description

This gene is a member of the beta-1,3-galactosyltransferase (beta3GalT) gene family. This family encodes type II membrane-bound glycoproteins with diverse enzymatic functions using different donor substrates (UDP-galactose and UDP-N-acetylglucosamine) and different acceptor sugars (N-acetylglucosamine, galactose, N-acetylgalactosamine). The beta3GalT genes are distantly related to the Drosophila Brainiac gene and have the protein coding sequence contained in a single exon. The beta3GalT proteins also contain conserved sequences not found in the beta4GalT or alpha3GalT proteins. The carbohydrate chains synthesized by these enzymes are designated as type 1, whereas beta4GalT enzymes synthesize type 2 carbohydrate chains. The ratio of type 1:type 2 chains changes during embryogenesis. By sequence similarity, the beta3GalT genes fall into at least two groups: beta3GalT4 and 4 other beta3GalT genes (beta3GalT1-3, beta3GalT5). This gene is expressed exclusively in the brain. The encoded protein shows strict donor substrate specificity for UDP-galactose. [provided by RefSeq

Specifications

Specifications

B3GALT1
Polyclonal
Rabbit polyclonal antibody raised against synthetic peptide of B3GALT1.
In PBS, pH 7.4 (150mM NaCl, 0.02% sodium azide, 50% glycerol)
Q9Y5Z6
B3GALT1
A synthetic peptide corresponding to internal of human B3GALT1.
RUO
8708
Human, Mouse
Liquid
ELISA, Western Blot
Unconjugated
Western Blot (1:500-1:1000) ELISA (1:20000) The optimal working dilution should be determined by the end user.
B3GALT1
MGC126594/beta3Gal-T1
Rabbit
100 μg
Primary
This antibody detects endogenous levels of total B3GALT1 protein.
Store at -20°C.
Aliquot to avoid repeated freezing and thawing.
Product Suggestions

Product Suggestions

Videos
SDS
Documents

Documents

Product Certifications
Promotions

Promotions

Product Content Correction

Your input is important to us. Please complete this form to provide feedback related to the content on this product.

Product Title

By clicking Submit, you acknowledge that you may be contacted by Fisher Scientific in regards to the feedback you have provided in this form. We will not share your information for any other purposes. All contact information provided shall also be maintained in accordance with our Privacy Policy.

Your feedback has been submitted: Thank you for helping us improve our website.

For Research Use Only