Promotional price valid on web orders only. Your contract pricing may differ. Interested in signing up for a dedicated account number?
Learn More

BAI2 Rabbit anti-Human, Polyclonal Antibody, Abnova™

Catalog No. 89127154 Shop All Abnova Corporation Products
Change view
Click to view available options
Quantity:
50 μg
1 product options available for selection
Product selection table with 1 available options. Use arrow keys to navigate and Enter or Space to select.
Catalog No. Quantity
89-127-154 50 μg
Use arrow keys to navigate between rows. Press Enter or Space to select a product option. 1 options available.
1 options
Catalog No. 89-127-154 Supplier Abnova Corporation Supplier No. PAB25540
Only null left
Add to Cart
Add to Cart

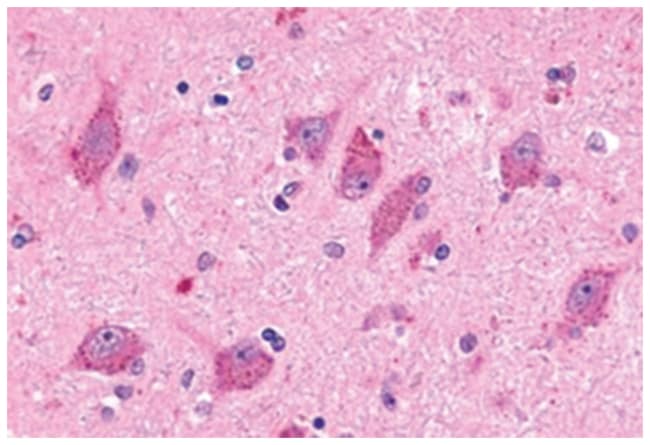
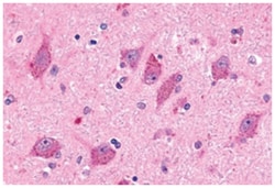
Rabbit polyclonal antibody raised against synthetic peptide of BAI2.

BAI1, a p53-target gene, encodes brain-specific angiogenesis inhibitor, a seven-span transmembrane protein and is thought to be a member of the secretin receptor family. Brain-specific angiogenesis proteins BAI2 and BAI3 are similar to BAI1 in structure, have similar tissue specificities and may also play a role in angiogenesis. [provided by RefSeq

Specifications

Antigen BAI2
Applications Immunohistochemistry (PFA fixed), Western Blot
Classification Polyclonal
Conjugate Unconjugated
Description Rabbit polyclonal antibody raised against synthetic peptide of BAI2.
Dilution Immunohistochemistry (Formalin/PFA-fixed paraffin-embedded sections) (14-21 ug/mL) The optimal working dilution should be determined by the end user.
Formulation In PBS (0.09% sodium azide)
Gene BAI2
Gene Symbols BAI2
Host Species Rabbit
Immunogen A synthetic peptide corresponding to 19 amino acids at N-terminal extracellular domain of human BAI2.
Purification Method Immunoaffinity chromatography
Quantity 50 μg
Regulatory Status RUO
Primary or Secondary Primary
Gene ID (Entrez) 576
Test Specificity BLAST analysis of the peptide immunogen showed no homology with other human proteins.
Target Species Human
Content And Storage Store at 4°C. For long term storage store at -80°C.
Aliquot to avoid repeated freezing and thawing.
Form Liquid
Show More Show Less

For Research Use Only

Product Title
Select an issue

By clicking Submit, you acknowledge that you may be contacted by Fisher Scientific in regards to the feedback you have provided in this form. We will not share your information for any other purposes. All contact information provided shall also be maintained in accordance with our Privacy Policy.