Promotional price valid on web orders only. Your contract pricing may differ. Interested in signing up for a dedicated account number?
Learn More

BEST4, Rabbit, Polyclonal Antibody, Abnova™

Catalog No. 89129256 Shop All Abnova Corporation Products
Change view
Click to view available options
Quantity:
50 μg
1 product options available for selection
Product selection table with 1 available options. Use arrow keys to navigate and Enter or Space to select.
Catalog No. Quantity
89-129-256 50 μg
Use arrow keys to navigate between rows. Press Enter or Space to select a product option. 1 options available.
1 options
Catalog No. 89-129-256 Supplier Abnova Corporation Supplier No. PAB27739
Only null left
Add to Cart
Add to Cart

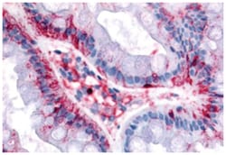
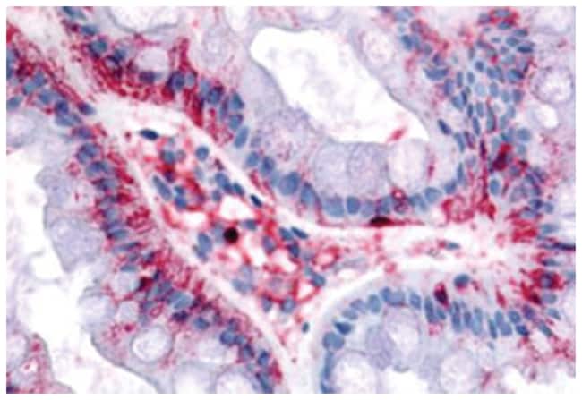
Rabbit polyclonal antibody raised against synthetic peptide of BEST4.

This gene is a member of the bestrophin gene family of anion channels. Bestrophin genes share a similar gene structure with highly conserved exon-intron boundaries, but with distinct 3' ends. Bestrophins are transmembrane proteins that contain a homologous region rich in aromatic residues, including an invariant arg-phe-pro motif. Mutation in one of the family members (bestrophin 1) is associated with vitelliform macular dystrophy. The bestrophin 4 gene is predominantly expressed in the colon. [provided by RefSeq]

Specifications

Antigen BEST4
Applications Immunohistochemistry (PFA fixed)
Classification Polyclonal
Conjugate Unconjugated
Description Rabbit polyclonal antibody raised against synthetic peptide of BEST4.
Dilution Immunohistochemistry (Formalin/PFA-fixed paraffin-embedded sections) (2.5 ug/mL) The optimal working dilution should be determined by the end user.
Formulation In PBS (0.09% sodium azide)
Gene BEST4
Gene Accession No. Q8NFU0
Gene Alias MGC126872/VMD2L2
Gene Symbols BEST4
Host Species Rabbit
Immunogen A synthetic peptide corresponding to 18 amino acid at internal region of human BEST4.
Purification Method Immunoaffinity chromatography
Quantity 50 μg
Regulatory Status RUO
Primary or Secondary Primary
Gene ID (Entrez) 266675
Test Specificity BLAST analysis of the peptide immunogen showed no homology with other human proteins.
Target Species Bovine, Human, Pig, Rabbit
Content And Storage Store at 4°C. For long term storage store at -80°C.
Aliquot to avoid repeated freezing and thawing.
Form Liquid
Show More Show Less

For Research Use Only

Product Title
Select an issue

By clicking Submit, you acknowledge that you may be contacted by Fisher Scientific in regards to the feedback you have provided in this form. We will not share your information for any other purposes. All contact information provided shall also be maintained in accordance with our Privacy Policy.