Promotional price valid on web orders only. Your contract pricing may differ. Interested in signing up for a dedicated account number?
Learn More

CCKAR Rabbit anti-Human, Polyclonal Antibody, Abnova™

Rabbit polyclonal antibody raised against synthetic peptide of CCKAR.

Supplier:  Abnova Corporation PAB26123

Catalog No. 89-127-765


Only null left
Add to Cart

Description

Description

This gene encodes a G-protein coupled receptor that binds non-sulfated members of the cholecystokinin (CCK) family of peptide hormones. This receptor is a major physiologic mediator of pancreatic enzyme secretion and smooth muscle contraction of the gallbladder and stomach. In the central and peripheral nervous system this receptor regulates satiety and the release of beta-endorphin and dopamine. [provided by RefSeq

Specifications

Specifications

CCKAR
Polyclonal
Rabbit polyclonal antibody raised against synthetic peptide of CCKAR.
In PBS (0.09% sodium azide)
P32238
CCKAR
A synthetic peptide corresponding to 20 amino acids at C-terminus of human CCKAR.
50 μg
Primary
BLAST analysis of the peptide immunogen showed no homology with other human proteins.
Store at 4°C. For long term storage store at -80°C.
Aliquot to avoid repeated freezing and thawing.
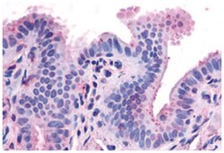
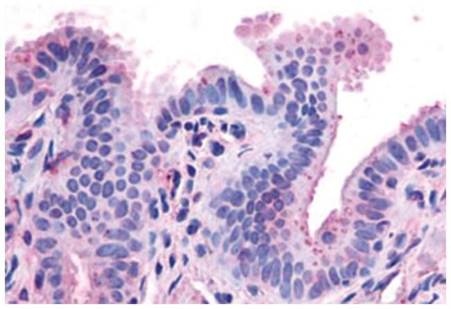
Immunohistochemistry (PFA fixed)
Unconjugated
Immunohistochemistry (Formalin/PFA-fixed paraffin-embedded sections) (9 ug/mL) The optimal working dilution should be determined by the end user.
CCKAR
CCK-A/CCK1-R/CCKRA
Rabbit
Immunoaffinity chromatography
RUO
886
Human
Liquid
Product Suggestions

Product Suggestions

Videos
SDS
Documents

Documents

Product Certifications
Promotions

Promotions

Product Content Correction

Your input is important to us. Please complete this form to provide feedback related to the content on this product.

Product Title

By clicking Submit, you acknowledge that you may be contacted by Fisher Scientific in regards to the feedback you have provided in this form. We will not share your information for any other purposes. All contact information provided shall also be maintained in accordance with our Privacy Policy.

Your feedback has been submitted: Thank you for helping us improve our website.

For Research Use Only