Promotional price valid on web orders only. Your contract pricing may differ. Interested in signing up for a dedicated account number?
Learn More

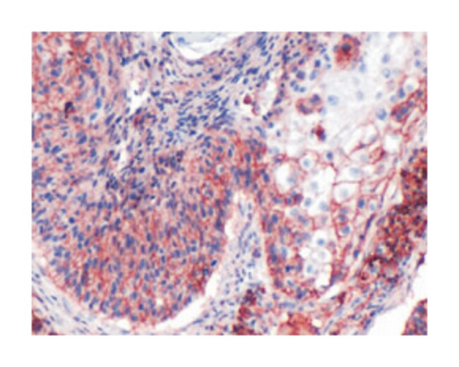
CD44, Rabbit, Clone: SP37, Abnova™

Rabbit monoclonal antibody raised against synthetic peptide of CD44.

Supplier:  Abnova Corporation MAB6549

Catalog No. 89-112-933


Description

Description

The protein encoded by this gene is a cell-surface glycoprotein involved in cell-cell interactions, cell adhesion and migration. It is a receptor for hyaluronic acid (HA) and can also interact with other ligands, such as osteopontin, collagens, and matrix metalloproteinases (MMPs). This protein participates in a wide variety of cellular functions including lymphocyte activation, recirculation and homing, hematopoiesis, and tumor metastasis. Transcripts for this gene undergo complex alternative splicing that results in many functionally distinct isoforms, however, the full length nature of some of these variants has not been determined. Alternative splicing is the basis for the structural and functional diversity of this protein, and may be related to tumor metastasis. [provided by RefSeq

Specifications

Specifications

CD44
Monoclonal
Unconjugated
Immunohistochemistry (Formalin/PFA-fixed paraffin-embedded sections) (1:100) The optimal working dilution should be determined by the end user.
CD44
CD44
A synthetic peptide corresponding to human CD44.
100 μL
Primary
Human
Liquid
Immunohistochemistry (Paraffin)
SP37
Rabbit monoclonal antibody raised against synthetic peptide of CD44.
In PBS, pH 7.6 (1% BSA, 0.09% sodium azide).
CDW44/CSPG8/ECMR-III/HCELL/IN/LHR/MC56/MDU2/MDU3/MGC10468/MIC4/MUTCH-I/Pgp1
Rabbit
Protein A/G purification
RUO
960
Store at 4°C. Do not freeze.
IgG
Product Suggestions

Product Suggestions

Videos
SDS
Documents

Documents

Product Certifications
Promotions

Promotions

Product Content Correction

Your input is important to us. Please complete this form to provide feedback related to the content on this product.

Product Title

By clicking Submit, you acknowledge that you may be contacted by Fisher Scientific in regards to the feedback you have provided in this form. We will not share your information for any other purposes. All contact information provided shall also be maintained in accordance with our Privacy Policy.

Your feedback has been submitted: Thank you for helping us improve our website.

For Research Use Only