Promotional price valid on web orders only. Your contract pricing may differ. Interested in signing up for a dedicated account number?
Learn More

CDH26 Rabbit anti-Human, Polyclonal Antibody, Abnova™

Rabbit polyclonal antibody raised against synthetic peptide of CDH26.

Supplier:  Abnova Corporation PAB17494

Catalog No. 89-119-155


Only null left
Add to Cart

Description

Description

Cadherins are a family of adhesion molecules that mediate Ca2+-dependent cell-cell adhesion in all solid tissues and modulate a wide variety of processes, including cell polarization and migration. Cadherin domains occur as repeats in the extracellular region and are thought to contribute to the sorting of heterogeneous cell types and the maintenance of orderly structures such as epithelium. This gene encodes a cadherin domain-containing protein whose specific function has not yet been determined. Alternative splicing occurs at this locus and two transcript variants, encoding distinct proteins, have been identified. [provided by RefSeq]

Specifications

Specifications

CDH26
Polyclonal
Rabbit polyclonal antibody raised against synthetic peptide of CDH26.
In PBS, pH 7.4 (150mM NaCl, 0.02% sodium azide, 50% glycerol)
Q8IXH8
CDH26
A synthetic peptide corresponding to internal of human CDH26.
RUO
60437
Human
Liquid
ELISA, Immunofluorescence
Unconjugated
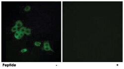
Immunofluorescence (1:500-1:1000) ELISA (1:5000) The optimal working dilution should be determined by the end user.
CDH26
VR20
Rabbit
100 μg
Primary
This antibody detects endogenous levels of total CDH26 protein.
Store at -20°C.
Aliquot to avoid repeated freezing and thawing.
Product Suggestions

Product Suggestions

Videos
SDS
Documents

Documents

Product Certifications
Promotions

Promotions

Product Content Correction

Your input is important to us. Please complete this form to provide feedback related to the content on this product.

Product Title

By clicking Submit, you acknowledge that you may be contacted by Fisher Scientific in regards to the feedback you have provided in this form. We will not share your information for any other purposes. All contact information provided shall also be maintained in accordance with our Privacy Policy.

Your feedback has been submitted: Thank you for helping us improve our website.

For Research Use Only