Promotional price valid on web orders only. Your contract pricing may differ. Interested in signing up for a dedicated account number?
Learn More

CDK6 (phospho Y13), Rabbit anti-Human, Mouse, Polyclonal Antibody, Abnova™

Catalog No. 89127544 Shop All Abnova Corporation Products
Change view
Click to view available options
Quantity:
100 μg
1 product options available for selection
Product selection table with 1 available options. Use arrow keys to navigate and Enter or Space to select.
Catalog No. Quantity
89-127-544 100 μg
Use arrow keys to navigate between rows. Press Enter or Space to select a product option. 1 options available.
1 options
Catalog No. 89-127-544 Supplier Abnova Corporation Supplier No. PAB25914
Only null left
Add to Cart
Add to Cart

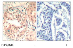
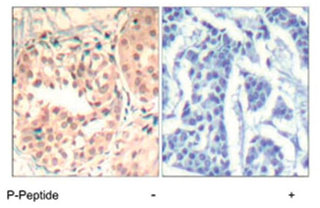
Rabbit polyclonal antibody raised against synthetic phosphopeptide of CDK6.

The protein encoded by this gene is a member of the cyclin-dependent protein kinase (CDK) family. CDK family members are highly similar to the gene products of Saccharomyces cerevisiae cdc28, and Schizosaccharomyces pombe cdc2, and are known to be important regulators of cell cycle progression. This kinase is a catalytic subunit of the protein kinase complex that is important for cell cycle G1 phase progression and G1/S transition. The activity of this kinase first appears in mid-G1 phase, which is controlled by the regulatory subunits including D-type cyclins and members of INK4 family of CDK inhibitors. This kinase, as well as CDK4, has been shown to phosphorylate, and thus regulate the activity of, tumor suppressor protein Rb. [provided by RefSeq

Sequence: Q-Q-Yp-E-C

Specifications

Antigen CDK6
Applications Immunofluorescence, Immunohistochemistry (PFA fixed)
Classification Polyclonal
Concentration 1 mg/mL
Conjugate Unconjugated
Description Rabbit polyclonal antibody raised against synthetic phosphopeptide of CDK6.
Dilution Immunohistochemistry (1:50-1:100) Immunofluorescence (1:100-1:200) The optimal working dilution should be determined by the end user.
Formulation In PBS (without mg2+ and Ca2+), 150mM NaCl, pH 7.4 (50% glycerol, 0.02% sodium azide)
Gene CDK6
Gene Accession No. Q00534
Gene Alias MGC59692/PLSTIRE/STQTL11
Gene Symbols CDK6
Host Species Rabbit
Immunogen Synthetic phosphopeptide corresponding to residues surrounding Y13 of human CDK6.
Purification Method Affinity chromatography
Quantity 100 μg
Regulatory Status RUO
Primary or Secondary Primary
Gene ID (Entrez) 1021
Target Species Human, Mouse
Content And Storage Store at -20°C.
Aliquot to avoid repeated freezing and thawing.
Form Liquid
Show More Show Less

For Research Use Only

Product Title
Select an issue

By clicking Submit, you acknowledge that you may be contacted by Fisher Scientific in regards to the feedback you have provided in this form. We will not share your information for any other purposes. All contact information provided shall also be maintained in accordance with our Privacy Policy.