Promotional price valid on web orders only. Your contract pricing may differ. Interested in signing up for a dedicated account number?
Learn More

CEBPA Rabbit anti-Human, Mouse, Rat, Polyclonal Antibody, Abnova™

Catalog No. 89118944 Shop All Abnova Corporation Products
Change view
Click to view available options
Quantity:
100 μg
1 product options available for selection
Product selection table with 1 available options. Use arrow keys to navigate and Enter or Space to select.
Catalog No. Quantity
89-118-944 100 μg
Use arrow keys to navigate between rows. Press Enter or Space to select a product option. 1 options available.
1 options
Catalog No. 89-118-944 Supplier Abnova Corporation Supplier No. PAB17279
Only null left
Add to Cart
Add to Cart

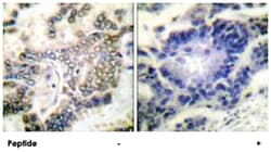
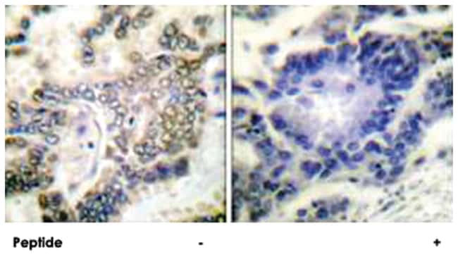
Rabbit polyclonal antibody raised against synthetic peptide of CEBPA.

The protein encoded by this intronless gene is a bZIP transcription factor which can bind as a homodimer to certain promoters and enhancers. It can also form heterodimers with the related proteins CEBP-beta and CEBP-gamma. The encoded protein has been shown to bind to the promoter and modulate the expression of the gene encoding leptin, a protein that plays an important role in body weight homeostasis. Also, the encoded protein can interact with CDK2 and CDK4, thereby inhibiting these kinases and causing growth arrest in cultured cells. [provided by RefSeq

Specifications

Antigen CEBPA
Applications Immunohistochemistry (PFA fixed), Western Blot
Classification Polyclonal
Conjugate Unconjugated
Description Rabbit polyclonal antibody raised against synthetic peptide of CEBPA.
Dilution Western Blot (1:500-1:1000) Immunohistochemistry (1:50-1:100) ELISA (1:5000) The optimal working dilution should be determined by the end user.
Formulation In PBS, pH 7.4 (150mM NaCl, 0.02% sodium azide, 50% glycerol)
Gene CEBPA
Gene Accession No. P49715
Gene Alias C/EBP-alpha/CEBP
Gene Symbols CEBPA
Host Species Rabbit
Immunogen A synthetic peptide corresponding to residues surrounding serine 21 of human CEBPA.
Quantity 100 μg
Regulatory Status RUO
Primary or Secondary Primary
Gene ID (Entrez) 1050
Test Specificity This antibody detects endogenous levels of total CEBPA protein.
Target Species Human, Mouse, Rat
Content And Storage Store at -20°C.
Aliquot to avoid repeated freezing and thawing.
Form Liquid
Isotype IgG
Show More Show Less

For Research Use Only

Product Title
Select an issue

By clicking Submit, you acknowledge that you may be contacted by Fisher Scientific in regards to the feedback you have provided in this form. We will not share your information for any other purposes. All contact information provided shall also be maintained in accordance with our Privacy Policy.