Promotional price valid on web orders only. Your contract pricing may differ. Interested in signing up for a dedicated account number?
Learn More

CEP97 Rabbit anti-Human, Polyclonal Antibody, Abnova™

Catalog No. 89122583 Shop All Abnova Corporation Products
Change view
Click to view available options
Quantity:
100 μL
1 product options available for selection
Product selection table with 1 available options. Use arrow keys to navigate and Enter or Space to select.
Catalog No. Quantity
89-122-583 100 μL
Use arrow keys to navigate between rows. Press Enter or Space to select a product option. 1 options available.
1 options
Catalog No. 89-122-583 Supplier Abnova Corporation Supplier No. PAB21087
Only null left
Add to Cart
Add to Cart

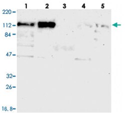
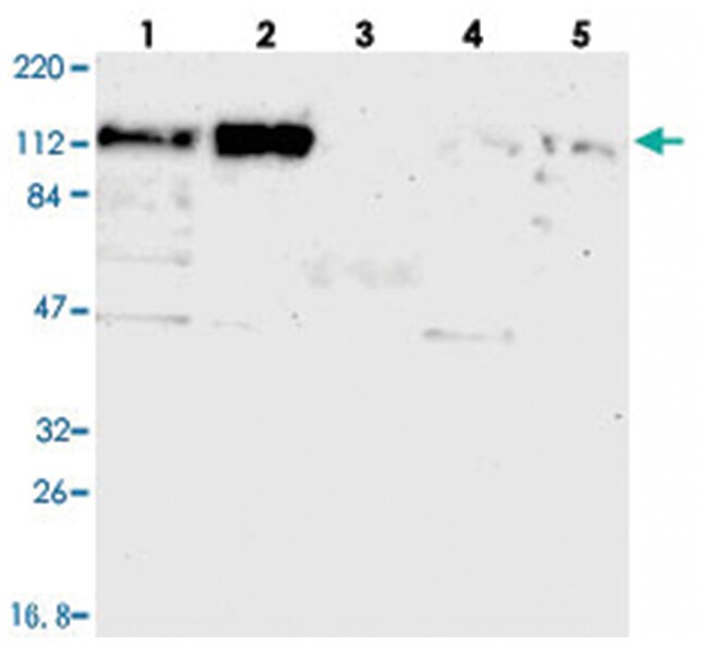
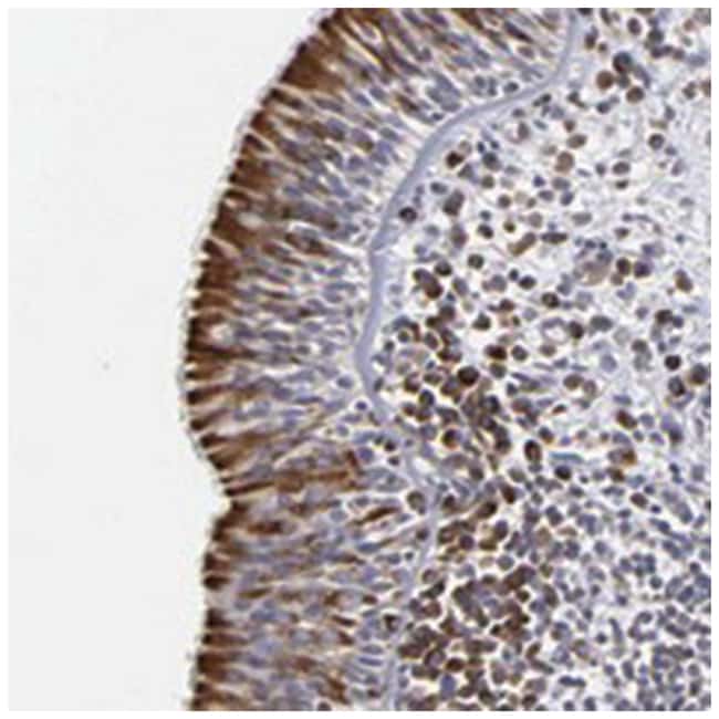
Rabbit polyclonal antibody raised against recombinant CEP97.

Sequence: QEEAFRFLWNQVRSLQVWQQTVDQRLSSWHTDVPPISSTLVPSKHPLFTQSQESSCDQNADWFIASDVAPQEKSLPEFPDSGFHSSLTEQVHSLQHSLDFEKSSTEGSESSIMGNSIDTVRYGKESDLGDVSEEHGEWN

Specifications

Antigen CEP97
Applications Immunofluorescence, Immunohistochemistry (PFA fixed), Western Blot
Classification Polyclonal
Conjugate Unconjugated
Description Rabbit polyclonal antibody raised against recombinant CEP97.
Dilution Immunohistochemistry (1:200-1:500) Western Blot (1:250-1:500) Immunofluorescence (1-4 ug/mL) The optimal working dilution should be determined by the end user.
Formulation In PBS, pH 7.5 (40% glycerol, 0.02% sodium azide)
Gene CEP97
Gene Accession No. Q8IW35
Gene Alias 2810403B08Rik/FLJ23047/FLJ26462/LRRIQ2
Gene Symbols CEP97
Host Species Rabbit
Immunogen Recombinant protein corresponding to amino acids of human CEP97.
Purification Method Antigen affinity purification
Quantity 100 μL
Regulatory Status RUO
Primary or Secondary Primary
Gene ID (Entrez) 79598
Target Species Human
Content And Storage Store at 4°C. For long term storage store at -20°C.
Aliquot to avoid repeated freezing and thawing.
Form Liquid
Isotype IgG
Show More Show Less

For Research Use Only

Product Title
Select an issue

By clicking Submit, you acknowledge that you may be contacted by Fisher Scientific in regards to the feedback you have provided in this form. We will not share your information for any other purposes. All contact information provided shall also be maintained in accordance with our Privacy Policy.