Promotional price valid on web orders only. Your contract pricing may differ. Interested in signing up for a dedicated account number?
Learn More

CNPY1, Rabbit, Polyclonal Antibody, Abnova™

Rabbit polyclonal antibody raised against recombinant CNPY1.

Supplier:  Abnova Corporation PAB24533

Catalog No. 89-126-250


Only null left
Add to Cart

Description

Description

Cnpy1 is expressed in the midbrain-hindbrain (MHB) boundary in zebrafish, binds FGFR1 (MIM 136350), and plays a role in FGF signaling (Hirate and Okamoto, 2006 [PubMed 16488878]).[supplied by OMIM

Sequence: DPVTKERTFKRFAPRKGDKIYQEFKKLYFYSDAYRPLKFACETIIEEYEDEISSLIAQETHYLADKLCSEKSDLCETSANH
Specifications

Specifications

CNPY1
Polyclonal
Rabbit polyclonal antibody raised against recombinant CNPY1.
In PBS, pH 7.5 (40% glycerol, 0.02% sodium azide)
Q3B7I2
CNPY1
Recombinant protein corresponding to amino acids of human CNPY1.
100 μL
Primary
Human
Liquid
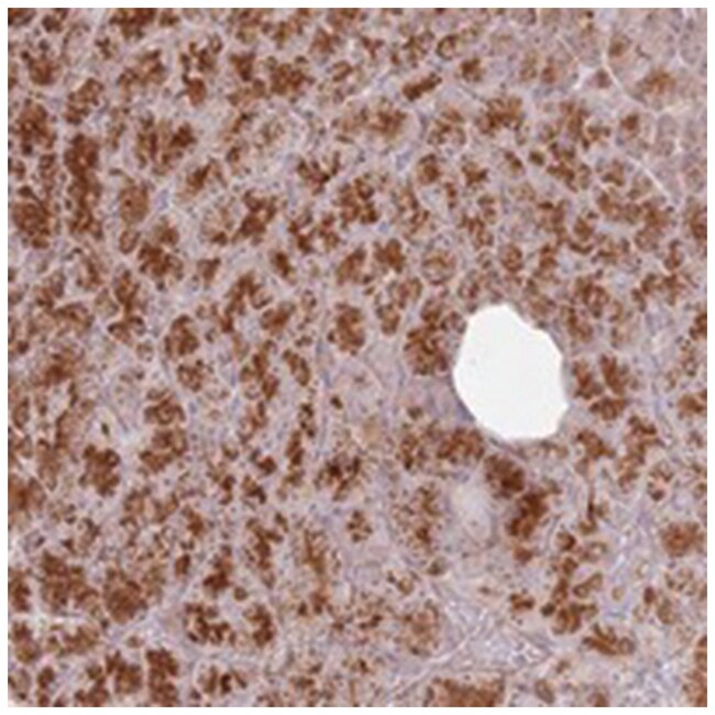
Immunohistochemistry (PFA fixed)
Unconjugated
Immunohistochemistry (1:500-1:1000) The optimal working dilution should be determined by the end user.
CNPY1
MGC125606
Rabbit
Antigen affinity purification
RUO
285888
Store at 4°C. For long term storage store at -20°C.
Aliquot to avoid repeated freezing and thawing.
IgG
Product Suggestions

Product Suggestions

Videos
SDS
Documents

Documents

Product Certifications
Promotions

Promotions

Product Content Correction

Your input is important to us. Please complete this form to provide feedback related to the content on this product.

Product Title

By clicking Submit, you acknowledge that you may be contacted by Fisher Scientific in regards to the feedback you have provided in this form. We will not share your information for any other purposes. All contact information provided shall also be maintained in accordance with our Privacy Policy.

Your feedback has been submitted: Thank you for helping us improve our website.

For Research Use Only