Promotional price valid on web orders only. Your contract pricing may differ. Interested in signing up for a dedicated account number?
Learn More

Cttn Rabbit anti-Mouse, Rat, Polyclonal Antibody, Abnova™

Rabbit polyclonal antibody raised against synthetic peptide of Cttn.

Supplier:  Abnova Corporation PAB18460

Catalog No. 89-120-023


Only null left
Add to Cart

Description

Description

Specifications

Specifications

Cttn
Polyclonal
Unconjugated
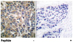
Western Blot (1:500-1:1000) Immunohistochemistry (1:50-1:100) ELISA (1:20000) The optimal working dilution should be determined by the end user.
Cttn
Cttn
A synthetic peptide corresponding to residues surrounding Y466 of mouse Cttn.
100 μg
Primary
This antibody is specific to Cttn.
Store at -20°C.
Aliquot to avoid repeated freezing and thawing.
ELISA, Immunohistochemistry (PFA fixed), Western Blot
1 mg/mL
Rabbit polyclonal antibody raised against synthetic peptide of Cttn.
In PBS, 150mM NaCl, pH 7.4 (50% glycerol, 0.02% sodium azide)
1110020L01Rik/Ems1
Rabbit
Affinity purification
RUO
13043
Mouse, Rat
Liquid
Product Suggestions

Product Suggestions

Videos
SDS
Documents

Documents

Product Certifications
Promotions

Promotions

Product Content Correction

Your input is important to us. Please complete this form to provide feedback related to the content on this product.

Product Title

By clicking Submit, you acknowledge that you may be contacted by Fisher Scientific in regards to the feedback you have provided in this form. We will not share your information for any other purposes. All contact information provided shall also be maintained in accordance with our Privacy Policy.

Your feedback has been submitted: Thank you for helping us improve our website.

For Research Use Only